-
목차
반응형총담관 결석증 (Choledocholithiasis)
총담관 결석증은 총담관에 적어도 하나의 담석이 있는 경우를 말한다.
- 총담관(CBD)에서 형성되었거나 담낭에서 생성된 결석이 총담관(CBD)으로 들어가서 발생한다.
- 담석이 있는 사람 중 약 15%는 총담관에 결석이 생긴다.
- 임상증상은 전혀 없을 수도 있으며 황달, 우상복부 통증, 발열, 췌장염 등이 있다.
- 담도폐쇄(Biliary obstruction)의 가장 흔한 원인이다.
합병증(complication)
- 담도경화 (biliary cirrhosis)
- 담관염(cholangitis)
- 췌장염(pancreatitis)
- 폐쇄성 황달(obstructive jaundice)


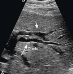
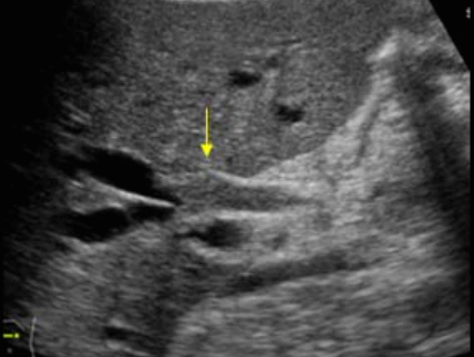
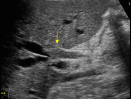
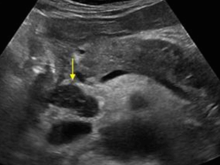
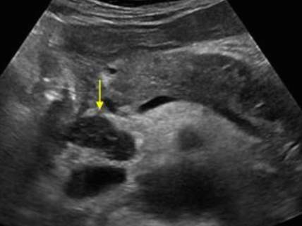
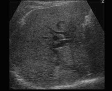
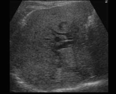
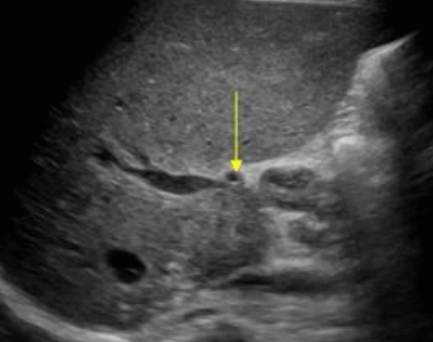
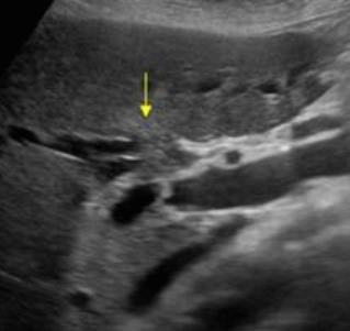
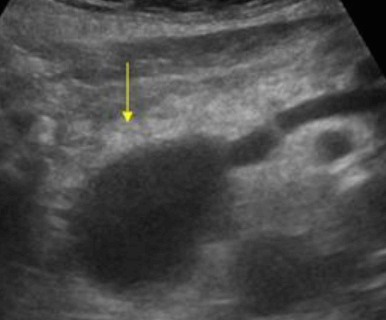
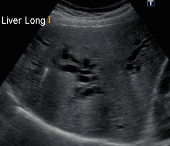
Choledocholithiasis US finding
- 총담관 내에 후방음향음영을 동반한 강한 에코가 관찰된다.
- 총담관의 확장 소견이 보인다. ( 7mm 이상)
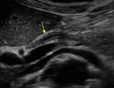
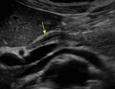
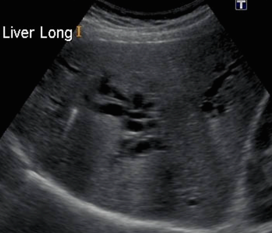
- 담석이 관찰되지 않고 간외, 간내담관의 확장소견을 시사하는 엽총징후(shotgun sign)이나 평행관 징후(parallel channel sign)가 관찰되기도 한다.
- 엽총징후(shotgun sign): 간외 담관이 확장되어 간외 담관과 문맥이 이웃해 관찰된다.
- 평행관 징후(parallel channel sign): 간내 담관이 확장되어 인접하고 있는 문맥과 나란히 2개의 관상구조로 나타난다.


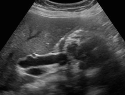
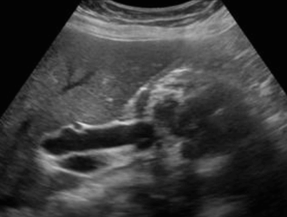
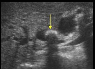
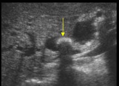
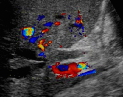
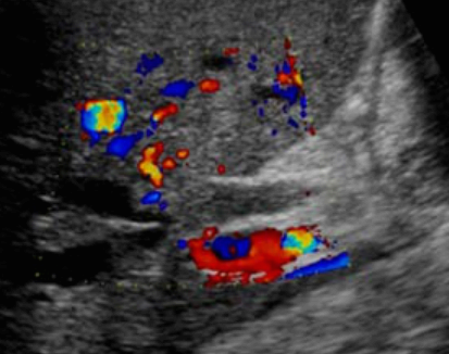
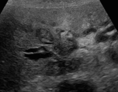
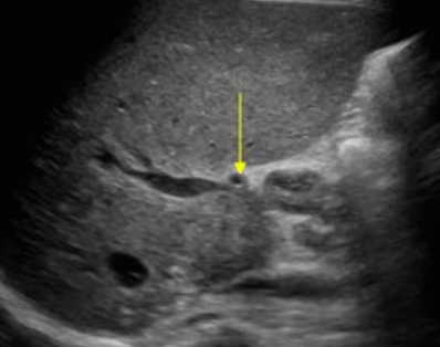
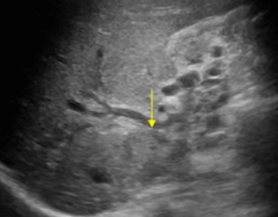
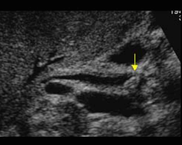
parallel channel sign & shotgun sign 미리찌 증후군 (Mirizzi's syndrom)


미리찌 증후군 (Mirizzi's syndrom) Mirizzi's syndrom 은 담낭경부, Hartmann's pouch 혹은 담낭관의 결석에 의해 총 간관(CHD)이 폐쇄되는 질환이다. 총 간관(CHD)이 협착되면서 상부담관은 확장되고 하부담관의 직경은 정상으로 나타난다. 증상은 폐쇄성 황달, 복부통증, 발열 등이 나타난다. 급성담낭염이 있으면서 담관폐쇄를 동반할 경우 의심해 볼 수 있다. 담낭절제술 후에 남아있는 담낭관의 결석이 총 간관(CHD)을 직접 누르거나 염증성 협착을 유발하기도 한다.
US finding
- 담낭관 또는 담낭 경부에 결석이 확인된다.
- 총간관(CHD) 또는 담낭관(cystic duct)의 확장소견이 보인다.
- 간내외 담관의 확장이 관찰된다.



Mirizzi's syndrom 담관암(Cholangiocarcinoma, CCCs)
담도계 상피세포에서 발생하는 원발성 악성종양으로 90% 선종성암 (adenocarcinoma)이다. 매우 드문 질환이며 초음파상 진단하기 어렵다. 증상은 황달, 소양증, 체중감소 등이 있다. 담관암은 성장속도가 느리며 담관벽을 침습한다.
담관암은 간외담관암(extrahepatic cholagiocarcinoma), 간내담관암(intrahepatic cholagiocarcinoma), 간문부 담관암(Klatskin's tumor = Hilar cholagiocarcinoma)으로 분류할 수 있다.
▣ 간외담관암(extrahepatic cholagiocarcinoma)
- 대부분 담관폐쇄 후 발견된다.
- 담석증, 담즙정체와 관계가 있고 황달을 일으킨다.
- 원위부 총담관은 십이지장 가스에 의해 발견하기 어렵다.
US finding
- 담관과 연결되는 많은 낭포가 있다.
- 담관 내 결석과 어떤 반사체가 있을 수 있다.
- 증식패턴은 circular pattern으로 증식하려는 경향이 강하고, 원위부를 향하여 침습범위를 넓힌다.
- 초음파상 근위부 직경이 크고 원위부로 갈수록 가늘어지는 것을 확인할 수 있다.
- 근위부 쪽 펜촉(pen point) 모양이 확인된다.



간외담관암(extrahepatic cholagiocarcinoma) ▣ 간내담관암(intrahepatic cholagiocarcinoma)
- 말초 간내담관에서 발생하고 임상증상은 상복부 통증 및 불쾌감 등이 있다.
- 25%의 경우로 황달 없이 간내담관 확장만 동반하는 경우도 있다.
- 간내 담관결석 환자에서 많이 발생한다.
- 뚜렷한 윤곽을 만들지 않아 정상 간 조직과의 구분이 어렵다.
- 고형성으로 섬유성 피막을 형성하지 않고 자생혈관이 없어 주위 침윤형의 불규칙한 경계를 보인다.
- 종양 내부에 출혈이나 괴사는 동반하지 않는다.
- 간내담관만 확장된다.
US finding
- 조기에 말초지 담관확장소견이 보인다.
- 간내담관암은 주변 간조직과 흐릿한 경계를 보인다.
- 종괴의 크기가 커질수록 고에코로 보인다.


간내담관암(intrahepatic cholagiocarcinoma) ▣ 간문부 담관암(Klatskin's tumor = Hilar cholagiocarcinoma)
- 좌우 간내담관이 갈라지는 간문부에서 발생하는 암이다.
- 담관암의 50%를 차지한다.
- 대부분의 환자는 폐쇄성 황달을 일으킨다.
US finding
- 간내담관은 확장되고 간외담관은 정상이다.
- 담낭은 위축되며, 간외담관은 담즙 흐름이 없는 담관으로 묘출된다.
- 폐쇄된 담관부위에 종양의 윤곽이 보일 수 있으나 초음파상 발견하기 어렵다.






간문부 담관암(Klatskin's tumor = Hilar cholagiocarcinoma) 담관염(Cholangitis)
결석으로 담관이 폐쇄되어 세균감염이 일어나 담관에 염증이 생긴 것을 말한다. 증상은 일시적인 황달, 통증, 발열 등이 나타난다.
US finding
- 담관의 국소적 확장소견이 보인다.
- 불규칙하고 두꺼워진 담관벽으로 인해 담낭내강이 좁아진다.
- 담도계의 석회화.






담관염(Cholangitis) 췌두부의 암 (Adenocarcinoma of head of pancreas)
courvoisier GB라고도 부르며 담도계를 폐쇄하는 가장 흔한 악성 신생물이다. 통증이 없는 황달이 나타나고 담낭에 질병 없이 비정상적으로 담낭이 확장된다.



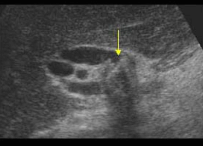
췌두부의 암 (Adenocarcinoma of head of pancreas) 담관낭종 (Choledochal cyst )
- 선천성으로 발생한 총담관의 낭종이고 가장 흔한 호발부위는 간문부이다.
- 간내담관 확장은 없거나 미미하다.
- 환자의 대부분은 10세 이전에 발생한다.
- 임상소견은 무증상이나 우상복부통증, 황달등이 나타날 수 있다
담관낭종 분류 (type)

Choledochal cysts type 1(fusiform) : 가장 흔한 타입으로 약 80~90%를 차지한다.
1a dilatation of extrahepatic bile duct (entire) 1b dilatation of extrahepatic bile duct (focal segment) 1c dilatation of the common bile duct portion of extrahepatic bile duct type 2( diverticulum ): true diverticulum from extrahepatic bile duct
type 3(choledochocle) : dilatation of extrahepatic bile duct within the duodenal wall
type 4(multiple:ext+int): 담관낭종에서 2번째로 흔한 타입이다.
4a cysts involving both intra and extrahepatic ducts 4b multiple dilataions/ cysts of extrahepatic ducts only type 5(Caroli disease) : multiple dilatations/ cysts of intrahepatic ducts only
type 6: dilatation of cystic duct
US finding
- 담관 내 무에코의 낭종
- 경계가 분명한 후방음향 증강
- 지방식 검사 후 수축소견이 없다.





Choledochal cysts 반응형