-
목차
반응형담낭 해부학 (GB anatomy )

담낭 해부학 (GB anatomy ) 담낭은 길이는 7~10cm, 폭 3~5cm으로 간과 함께 복막에 싸여 있으며 간우측하면 담낭와에 고정되어 있다. 담낭은 저부(fundus), 체부(body), 경부(neck)로 구분된다. 담낭의 저부는 복측에 있고 경부는 배 측에 있다. 담낭의 저부는 담낭암의 호발부위이고 담낭의 체부는 저부와 경부 사이에 있으며 경부는 담낭관으로 연결되는 부분으로 누두부(hartman pouch)가 있다. 담낭관(cystic duct)은 약 2~4cm이고 내강에 heister valve 가 있어 담즙의 역류를 방지한다. 담낭벽은 매우 얇은 벽을 갖는 주머니로 점막층, 점막하층, 근육층, 장막층으로 구성되며 식전에는 2mm 이하 식후에는 3mm 이하의 두께를 갖는다.
간의 주엽열(main lobe fissure)은 고에코의 선으로 보이고 초음파에서 담낭을 찾는 지표이다. 담낭과 하대정맥(IVC)이 일치하는 선상을 Cantle's line이라고 한다.
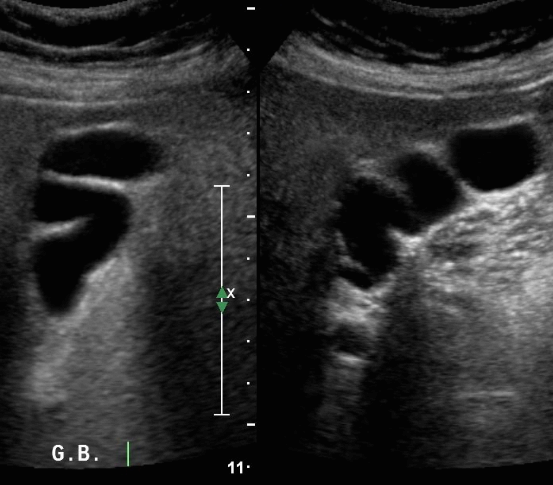
Normal US finding
- 담낭벽의 두께 (금식상태) : 2mm 이하
- 담낭벽의 두께 (식후상태): 3mm 이하 / 4mm 이상이면 비정상
- GB wall 밝고 균일한 에코
- GB 내강은 anechoic (무에코)


담낭 해부학 (GB anatomy ) GB Physiology
간에서 분비된 담즙을 저장하는 역할을 한다. 담즙산염과 담즙색소로 이루어져 있으며 소화작용에서 위산을 중화시키고 다양한 소화효소의 작용을 촉진시키는 역할을 한다. 담즙산은 지방을 유화하여 소화와 흡수를 돕고, 담즙색소는 체내의 불필요한 물질을 배설시키는 작용을 한다. 쓸개즙에는 노화된 적혈구의 헤모글로빈이 분해된 빌리루빈이 들어 있어 황록색에 가깝다. 간에서 십이지장으로 바로 분비되기도 하지만 분해된 쓸개에 농축되어 저장되었다가 사용되기도 한다.
담즙의 작용
- 지방소화의 촉진
- 지용성 비타민 및 Fe, Ca의 흡수촉진
- 살균작용으로 소장에서 세균증식 억제
- 장을 자극하여 장운동을 활발히 하여 배변촉진
담낭의 정상변이 (normla variation)
1) Folder GB
해부학적 정상변이로 담낭이 굴곡된 상태이고 환자의 15% 에서 관찰된다. 담석이 자주 보이므로 환자 체위를 변화시켜 검사해야 한다.
2) Phrygian cap
해부학적 정상변이로 담낭 저부에 격막에 의한 주름이 형성된 상태이고 환자의 6%에서 관찰된다. 게실형태로 담낭 내강을 충분히 검사하기 어려우며 캡에 결석이 존재할 가능성이 있으므로 환자의 체위를 변화시켜 검사해야 한다.
3) Multiseptate GB
다발성의 얇은 격벽 구조에 의해 크기가 서로 다른 여러 부분으로 나누어져 있다. 무증상이며 기능적으로도 아무 문제없다.
4) Double GB
기저부와 담낭관 부위가 2개인 담낭이다. 각각 cystic duct를 가진다.
5) Duplicated GB
Double GB 와의 차이점은 하나의 cystic duct를 가진다.





담낭의 정상변이 (normla variation) 반응형