-
목차
반응형담낭 질환 (gall bladder disease) - adenomyomatosis & sludge
담낭 선근종증 (Adenomyomatosis = adenomyomatous hyperplasia)
담낭벽의 점막(mucosa)과 점막의 외낭을 형성하는 RAS( Rokitansky-Aschoff sinus)의 증식과 근조직의 비후가 동반하는 병변으로 담낭벽이 비후 되는 것이다. 담낭내강압이 만성적으로 증가할 때 발생한다. 양성질환으로 우상복부통증을 호소한다. 40세 이상의 여성에서 발생률이 높다.

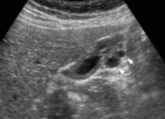
담낭 선근종증 RAS( Rokitansky-Aschoff sinus)
- 담낭벽이 비후 되면서 sinus (구멍)가 생성됨
- sinus 안에 콜레스테롤이 침착됨
- 미세낭종의 벽에 부딪혀 다중반사를 형성 (comet-tail artifact )
- wall 비후가 심할 때 악성과 감별이 어렵다 (도플러를 사용하여 감별)
US finding
- 소낭종 (anechoic)
- 소낭종내담석에 의한 comet tail sign
- GB wall 이 두꺼워진다
- 악성으로 될 가능성이 거의 없다
- 급성담낭염, 만성담낭염, 담낭암과 같은 벽비후성 질환과 감별이 어렵다


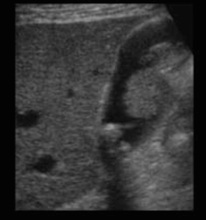
담낭 선근종증 담낭 선근종증의 분류
- 분절형 (segmental type): 담낭벽이 양측에 반월상으로 비후 된다. 대칭성이 떨어지거나 불규칙적 벽비후는 악성가능성이 있으므로 제거하는 것이 좋다.
- 국소형 (fundal type): 벽비후가 저부에 국한되어 있다. 암호발부위이며 doppler 검사를 필수로 시행한다.
- 미만형 (diffuse type): 담낭벽이 광범위하게 비후 되어 있다

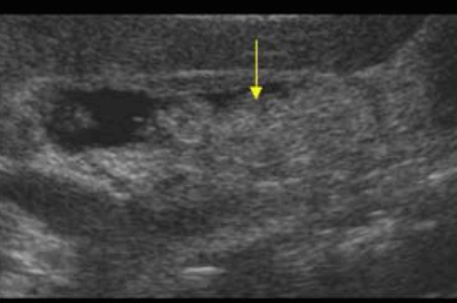
담낭 선근종증의 분류 담즙 앙금 (GB Sludge)
담즙이 정체하여 담낭 내에 수평면을 이루는 것이다. 담낭점막의 점액대사에 이상이 있고 콜레스테롤 결석형성의 핵을 제공한다. 원인으로는 장기간 금식에 의한 담즙울체, 수술 이후 장기간 정맥 내 영양공급, 장기간 간담도 폐색, 담낭수종등에 의한 장기간 담낭관 폐색, 급. 만성 담낭염, 혈담증, 담낭농축, 임신, 경구피임약 등이 있다.
US finding
- 담즙으로부터 침전된 작은 미립자 물질의 혼합물
- 균일한 중간에코로 보이며 후방음향음영이 없다(결석과의 감별)
- 환자체위 변화로 인한 이동성 (용종과의 감별)
- sludge ball (=tumefactive sludge) 종양형 담즙앙금은 color doppler vascularity 유무로 종양과의 감별을 요한다



담즙 앙금 (GB Sludge) 반응형