-
목차
반응형담낭 질환 (gall bladder disease) - Porcelain GB & GB Cancer
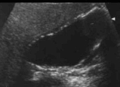
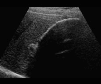
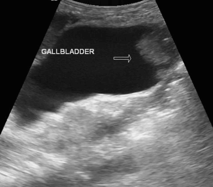
Porcelain GB ( 석회화 담낭 = 자기양 담낭 = 도자형 담낭)
담낭벽에 만성적으로 염증을 일으켜 벽의 일부 또는 전체에 칼슘이 침착된 것으로 만성 담낭염의 합병증으로 발생한다.
담낭벽내 다양한 양의 칼슘을 함유하고, 80%의 확률로 여성에서 호발 한다. 또한 특별한 임상증상이 없다.
porcelain GB는 25% 에서 담낭암이 발생하므로 반드시 담낭절제술을 시행해야 한다.
US finding
- 담낭벽 석회화에 의한 소견으로 후방음향음영을 동반한 곡선모양의 고에코를 나타내는 것
- 전벽과 후벽 모두 고에코를 나타내는 것
- 음향음영을 동반하는 불규칙한 고에코가 군집형태를 이루는 것 (암의 가능성이 높다)
- 환자 체위에 따른 변화가 보이지 않는다
- 담낭 내강을 관찰하기 어렵다



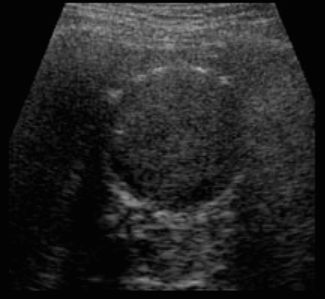
Porcelain GB Gall bladder carcinoma (담낭암)
담낭에 생기는 암으로 중년이나 노년의 여성에게 많이 발생한다. 초기에는 증상이 없다가 진행이 시작되면 오른쪽 옆구리에서부터 윗배에 걸쳐 무딘 통증이 따르고 식욕부진, 체중감소, 전신 권태감, 우상복부 딱딱한 종괴등이 나타난다. 여성이 남성보다 3배가량 발병률이 높으며 발병 원인은 아직 밝혀지지 않았으나 일반적으로 오랫동안 담낭결석에 의한 감염과 관계있는 것이 아닌가 추측된다. 담낭암의 예후는 대부분 1년 이내 사망 (88%)하고 5년 생존율이 2~5%이다.
GB cancer risk factor
- GB stone
- 담석을 동반한 만성담낭염은 담낭암으로 발전될 가능성이 높다
- 50대 이상 연령
- APBU
- 1cm < adenoma polyp
- Porcelain GB



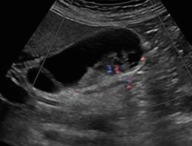
Gall bladder carcinoma (담낭암) adenoma와 adenocarcinoma의 감별
adenoma adenocarcinoma 선종은 변연이 매끈하다 종괴변연이 불규칙하다 wall 이 선명하다 wall 층이 무너져 wall과의 경계가 불분명 mass 안에 color (-) mass 안에 color (+) 선종은 목이있는 유경성이 많다 종괴는 목이없는 무경성이고 wall과 넓게 퍼져있다 GB cancer type
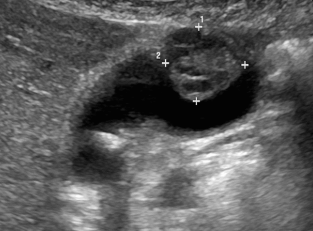
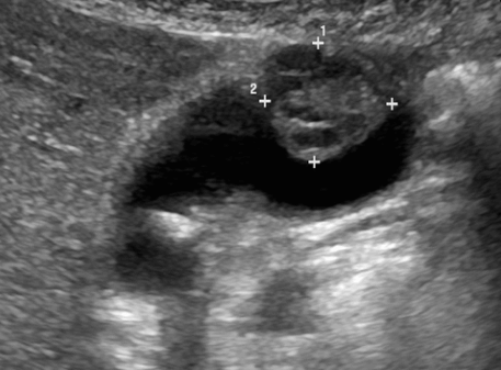
1. Polyp type (용종형)
가장 흔한 타입으로 내부에코가 밝고 균일한 용종모양이다. 또한 조직학적으로 잘 분화된 암이며, 종괴의 크기가 1cm 이상이면 의심할 수 있다.
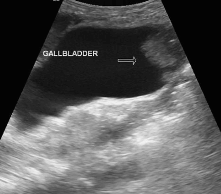
2. Wall thickening (벽비후형)
담낭벽이 국소적 또는 미만적으로 비후 된 암이며 점막하층이 없어 바로 간으로 직접 침윤하여 치사율이 높다. 담낭벽의 불규칙한 비후, 담낭 내강이 뚜렷하지 않으며 담낭벽을 나타내는 선상의 고에코가 뚜렷하지 않다.
벽비후형이 층이 없고, 내강 안 표면이 불규칙일 때, 비대칭적 비후, 담낭벽이 간을 침범할 때, 악성도가 높다.
GB wall thickening
1차성 질환 2차성 질환 Acute cholecystitis Liver cirrhosis Chronic cholecystitis Hepatitis Acalculous cholecystitis Ascites XanthoGranulomatous cholecystitis Renal failure GB cancer Pancreatitis Adenomyomatosis GB wall thickening 이 보일 때 감별 point
- 간경변, 염증: 벽의 3개 층이 살아있다
- 선근종증: 벽이 대칭적으로 균일하게 비후 되고 층이 살아있다
- 벽비후형 암: 불규칙적이고 층이 사라지고 경계가 불분명, 간을 침범
summary
- 용종 1cm 이상 암의 가능성 (담낭절제술시행)
- 용종 크기 상관없이 경계불규칙 혹은 혈류동반, 담낭벽비후 침범 시 암가능성 (담낭절제술시행)
- 미만성 벽비후(만성담낭염, 미만성 선근종증)는 항상 미만성 벽비후형 담낭암을 염두
- 담낭, 선근종증의 국소형과 분절형은 암이 동반될 수 있다
- 담낭벽의 불규칙 혹은 국소적, 비대칭적 벽비후, 두꺼울수록 암가능성 올라간다
- 초음파 스캔은 반드시 여러 방향으로 스캔하여 빠짐없이 검사해야 한다
- fundus - 암호발부위, neck- 결석유무
반응형