-
목차
반응형췌장 (pancreas)의 해부학과 기능, 췌장 주변 혈관들과의 관계, 췌장의 초음파적 영상과 혈액검사에 대해 알아보자.
췌장의 해부학 (normal anatomy)

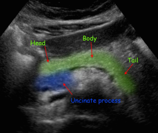
췌장은 복막 후 장기(retroperitoneal organ)로 다양한 효소를 생산하여 음식물을 소화시킨다. 췌장은 췌두부(pancreas head), 췌체부(body), 췌미부(tail)로 구분하며 췌두부에는 구상돌기(uncinate process)가 있다. 태생기에 복측(ventral pancreas)과 배 측(dorsal pancreas)으로 발생하여 췌체부는 전측(anterior)으로 췌두부와 췌미부는 후측으로 휘어져 있다.
췌장의 크기는 길이 약 12cm이고 두께는 췌두부의 약 2.5cm, 체체부 약 2cm, 췌미부 1.5~2cm, 무게는 80g 정도이다.
췌장은 우측에 십이지장, 좌측에 비장, 전측에 위장, 상측에 간, 후측에 대동맥, 대정맥, 상장간막정맥, 상장간막동맥, 비장정맥이 있다.
췌관(pancreatic duct)

췌액이 십이지장으로 들어가는 통로를 말하며 췌관확장은 정상과 비정상을 구분하고 다른 질환을 추적할 수 있는 중요한 단서이다.
- 주췌관(wirsung duct, main pancreatic duct): 복측관으로 CBD와 합류하여 ampula of vater로 개구 한다. 정상은 2mm 이하이고 3mm 이상이면 종대이다.
- 부췌관(accessory pancreatic duct, duct of santorini): 배측관으로 minor ampula로 개구하고 췌장염이 많이 발생한다.
췌장의 기능 (function of pancreas)
내분비(혈당을 조절하는 인슐린과 글루카곤 분비)와 외분비(소화액인 췌즙을 생성)를 두루 섭렵하는 만능 분비기관이다.
내분비
특정한 도관 없이 혈액으로 직접 분비되고 순환계통에 의해 혈액을 따라 돌아다니다 필요한 조직에 도착한다. 내분비샘인랑게르한스섬이 있어 인슐린과 글루카곤을 분비하여 혈당을 일정하게 조절하는 역할을 한다. 췌장 내분비세포는 알파, 베타, 델타 등의 3가지 세포가 있으며 각각 글루카곤, 인슐린, 소마토스타틴(somatostatin)을 분비한다.
글루카곤은 혈당을 높이고 인슐린은 혈당을 반대로 줄이며, 소마토스타틴은 뇌하수체의 성장호르몬의 분비를 억제한다.
- α-세포(인슐린): 혈당량을 낮추는 작용
- β-세포(글루카곤): 혈당량을 높이는 작용
- δ-세포(somatostatin): 뇌하수체의 성장호르몬의 분비 억제작용
외분비
특정한 도관으로 분비되고 목적지에 바로 도착한다. 외분비선으로서 각종 소화액이 포함된 이자액을 분비하여 췌관을 통해 십이지장으로 보내는 작용을 한다. 췌장에서는 대부분의 강력한 소화효소를 분비하고 이는 위산에 의해 활성화되어 소화를 진행한다.
- 트립신: 단백질 분해
- 아밀라아제: 탄수화물 분해
- 리파아제: 지방분해
췌장과 주변 혈관들과의 관계 (pancreatic vascular and ductal landmarks)
췌장은 후복막강 장기로 주변 장기에 의해 영향을 많이 받아 초음파적으로 찾기 힘들기 때문에 주변혈관을 landmark로 찾아야 한다.

① 하대정맥 (IVC)
인체의 정중선에서 우측에 있고 췌장 두부의 바로 뒤쪽에 위치한다. 췌두부의 종괴는 하대정맥을 압박하거나 폐색 할 수도 있다.
② 대동맥(Aorta)
인체의 정중선의 좌측에 있고 췌체부와 상장간막동맥 뒤에 위치한다.
③ 상장간막정맥(SMV)
비장정맥과 이어져 있고 구상돌기(uncinate process) 앞에 있다.
④ 상장간막동맥(SMA)
췌장 체부의 뒤쪽과 대동맥의 앞쪽에 위치한다.
⑤ 비동맥(Splenic artery)
췌체부의 위쪽 췌미부의 뒤쪽에 위치하고 비문(splenic hilum)으로 들어간다.
⑥ 비정맥(Splenic vein)
췌장 뒤에 위치하여 상장간막정맥(SMV)과 만나 간문맥(portal vein)을 형성한다.
⑦위십이지장동맥(Gastroduodenal artery)
췌두부의 앞쪽으로 지나간다
⑧원위 담관(Distal CBD)
하대정맥 앞쪽에 있고 췌두부의 뒤쪽을 관통하여 십이지장으로 들어간다.
정상췌장의 초음파적 소견
췌장은 막이 없는 장기로 초음파상 경계면이 확실하지 않다. 췌장의 에코는 간보다 약간 밝거나 같으며 균질하다. 나이가 증가하면서 위축되고 지방침착으로 인해 췌장 실질이 밝아진다. 주췌관의 직경은 3mm 이상이면 확장으로 보나 분단위로 수축과 확장을 반복하여 변하기 때문에 시간에 따라 확인해야 한다. 실제검사에서 대칭성의 소실, 외곽선의 급격한 변화, 에코변화등을 주의 깊게 관찰해야 한다.




- 돌출 없는 매끈한 모양의 실질, 두께 4cm 이하
- 간실질보다 조금 높은 균질한 에코
- 균일한 직경의 2mm 미만 췌관
- 예리한 모양의 구상돌기
- 주위정맥들의 눌림이 없다
- 췌장주위 비정상 액체저류가 없다
- 길이 12cm
- 두께 head 2.5cm (2.5cm 이상이면 종대), body 2cm (2cm 이상이면 종대), tail 1.5~2cm (2cm 이상이면 종대)
검사 시 유의사항
- 장관의 gas를 피해서 검사를 한다
- 간의 좌엽을 음창으로 하여 검사한다
- LPO자세를 취한다
- 췌미부는 좌측신장 또는 비장을 음창으로 한다
- 검사가 곤란한 경우 환자에게 적당량의 물을 먹여 장관 내 가스를 물로 채워 소화관을 음향창으로 검사한다.
혈액검사 (laboratory test)
1) Serum Amylase
췌관이 폐쇄되거나 염증에 의해 췌장 조직이 손상을 받을 때 췌액이 혈액으로 누출된다. 급성 발생 후 4~12시간 안에 매우 빠르게 증가한다. 급성췌장염 시작 후 2~3일 안에 정상으로 떨어진다.
2) Urine Amylase
급성췌장염 시작 후 7~10일까지 높은 수치가 지속된다. Serum Amylase 수치가 떨어졌을 때 급성췌장염을 진단하는 데 사용한다.
3) Serum Lipase
증상 시작 4~8시간 후에 증가하기 시작하여 24시간 후에 최고 농도에 도달하여 14일 후 정상으로 돌아온다. 아밀라아제 수치와 나란히 증가한다.
☆ serum amylase - serum lipase 수치 ☆
- 만성에서는 증가하지 않는다.
- 가성낭종(pancreatic pseudocyst)과 췌관폐쇄에서는 증가한다.
- 췌장질환이 없을 때 지속적인 증가는 가성낭종(pseudocyst)을 의심한다.
**사진출처: ultrasoundpaedia
반응형