-
목차
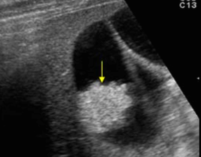
반응형담석증 (Cholelitiasis = GB stone)
담낭 안에 결석이 존재하는 질환이다. 비정상적인 담즙의 정체와 감염에 의해 담석이 형성된다. 작은 담석은 담낭관의 폐쇄를 초래하므로 담석의 수가 많고 크기가 작을수록 위험하다. 비만(fat), 다산(fertile), 여성 또는 나이가 많을수록 발생 확률이 높다. 증상은 우상복부통증, 오심과 구토 등이 나타난다. 담석의 성분은 cholesterol, calcim bilirubin, calcium carbonate이며 대부분 bilirubin 또는 cholesterol이다.
US finding
- 강한 고에코의 반사체 (strong echogenic sign)
- 후방음향음영 (posterior acoustic shadow)
- 환자 체위에 따라 움직임 (rolling stone sign)
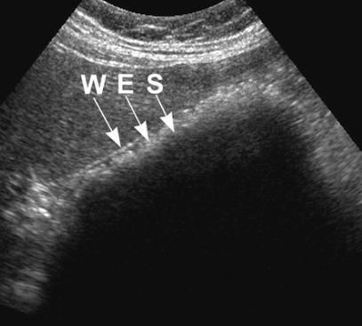
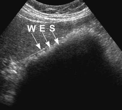
- Wall-echo-shadow (WES) triad = double arc shadow sign
- 콜레스테롤 결석은 강하고 선명한 후방음영이 존재한다
- 색소성 결석은 후방음영이 없다 (체위 변화로 용종과의 감별 필요함)
- Color doppler 적용 시 twinkle artifact 가 보인다
- GB small stone with wall thickening 동반이나 용종과 같이 있을 때 절제대상이 된다.
담낭 결석과 감별을 요하는 것
- 담낭벽 주름의 음영
- 십이지장 구부가 GB 내로 함입
- 담낭 내 용종 : 담낭관의 결석은 담즙이 적기 때문에 음향효과를 발휘하지 못해 결석음영이 뚜렷하지 않으며 십이지장 구조물과 구별이 어렵고 담낭 내로 담즙유입 및 담낭 혈류장애를 일으켜 담낭염을 유발한다.
담석증 진단의 어려움
- 담낭 수축 (GB collaps)
- 후방음영이 없는 결석
- 부유결석 (Floating stone)
- 담낭 cystic duct에 결석이 있는 경우
- 담낭 저부(fundus)의 표층에 위치한 결석






담석증 (Cholelitiasis = GB stone) 담낭 용종 ( GB polyp )


담낭 용종 ( GB polyp ) 담낭 안쪽 벽에서 담낭 안으로 돌출된 다양한 형태의 점막이 두꺼워진 것이다. 용종 자체로는 큰 문제를 일으키지 않으나, 용종의 크기가 커지면 암으로 변할 가능성이 높다. 용종의 크기가 직경 10mm 이상인경우 악성일 가능성이 높다.
발생빈도는 성인의 약 3~7% 정도이고 남성보다는 여성에서 2배 정도로 많으며 40대에서 많이 발생한다. 증상이 없으며 우연히 발견되나 드물게 명치끝이나 우상복부에 통증을 호소하는 경우도 있다.
1cm 이상의 담낭 용종은 수술로 담낭 전체를 제거하는 것을 원칙으로 하고, 1cm 미만인 경우는 주기적인 추적관찰을 한다. 용종의 크기가 1cm 미만이라 하더라도 담석이 동반되어 있거나, 증상( 복통, 담낭염등)이 있는 경우는 제거하는 것이 좋다.
용종의 형태 ( Polyp type )
1. 콜레스테롤 용종 (cholesterol polyp) : 50~90%로 가장 흔한 타입
- 1cm 미만의 고에코의 종괴 (hyperechoic mass) : 담석에 비해 에코가 낮고, 담낭벽보다는 고에코로 보임
- 담낭벽에 붙어 체위변화 시 이동이 없다
- 후방음영이 없다


콜레스테롤 용종 (cholesterol polyp) 2. 선종성 용종 (adenomatous polyp) : 15~25%
- 대부분 단일성이다
- 1cm 이상일 경우 악성 가능성이 있다
- 콜레스테롤 용종보다 저에코 (hypoechoic)이다.


선종성 용종 (adenomatous polyp) 3. 염증성 용종 (inflammatory polyp) : 15%
- 만성 담낭염과 관련이 있다.
반응형