-
목차
반응형담낭 질환 (gall bladder disease) - 급성·만성 담낭염
급성 담낭염 (Acute cholecystitis)
급성 담낭염의 원인은 담낭관의 폐쇄가 80~90%를 차지하고, 그 외에 세균의 감염(박테리아, 대장균, 포도상구균)과 췌장액의 역류등에 의해 발생한다. 담석에 의한 담낭관의 폐쇄가 90% 로 가장 흔한 원인이며, 10%가 무담석성 담낭염으로 발생한다. 임상증상으로는 우상복부통증, 발열, 황달, 식욕부진, 백혈구 증가, 오심, 구토 등이 있다.
급성담낭염의 특징적 소견
- 담낭 내 담즙에 세균이 증식하면서 염증이 진행
- GB neck or cystic duct에 stone, cancer, 기생충에 의해 협착이 생기고 담즙정체가 일어남
- 혈액검사상 백혈구 증가증, 빌리루빈이 상승



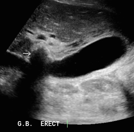
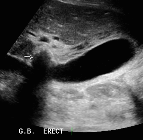
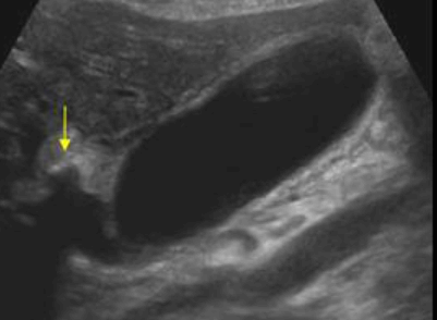
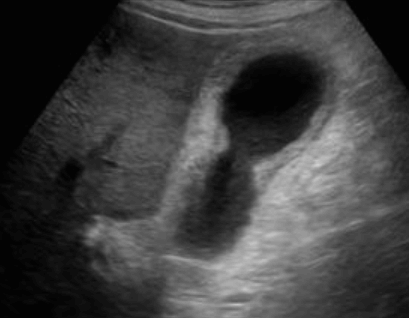
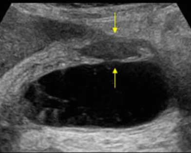
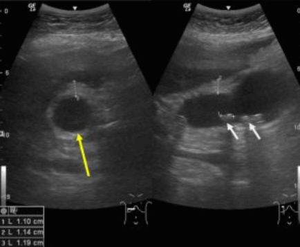
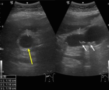
급성담낭염 US finding
- 담낭관내 결석
- 담낭벽이 두꺼워진다 ( GB wall thickness 3mm 이상)
- GB내강의 압력증가 및 확장 (width 5cm 이상)
- color doppler 시 GB wall 혈류증가 GB lumen bile sludge (내부에코증가)
- 급성담낭염은 담낭주위 액체저류 (pericholecystic fluid)
- 심한 RUQ pain (Murphy sign) : 젊은 환자에서는 대부분 Murphy sign이 있지만, 노인에서는 Murphy sign이 없더라도 급성 담낭염이 있는 경우가 많으므로 더 주의 깊게 관찰해야 한다.






급성 담낭염 (Acute cholecystitis) 급성 담낭염의 합병증 (complications of acute cholecystitis)
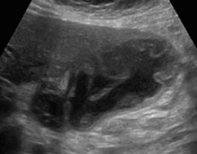
1. 기종성 담낭염 (Emphysematous cholecystitis)
담낭벽의 허혈이나 괴사로 인해 가스가 형성되고 세균의 감염이 동반되어 결석성 또는 무결석성 급성 담낭염이 시작되는 것을 말한다. 노인 또는 당뇨병(diabetes) 환자에게 호발 한다. 임상증상으로는 우상복부통증, 구토, 오한, 열 등이 있다. 사망률이 높아 응급수술 및 항생제 치료가 필요하다. 진단 즉시 담낭절제술(cholecystectomy)을 시행해야 한다.
US finding
- 담낭벽이나 담낭 속에 가스가 있어 ring down artifact를 갖는다
- 가스는 중력과 체위에 따라 위치가 변화한다



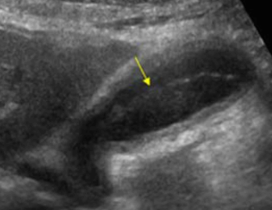
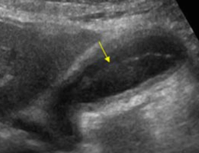
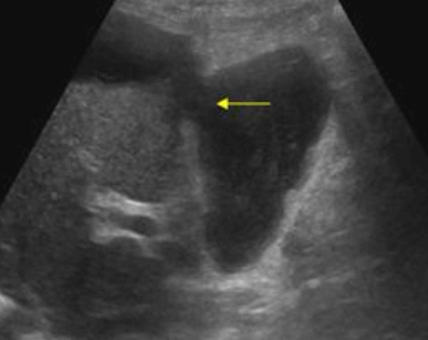
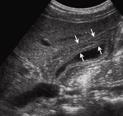
기종성 담낭염 (Emphysematous cholecystitis) 2. 괴저성 담낭염 (Gangrenous cholecystitis)
담낭벽의 괴사를 동반하는 심각한 담낭의 급성염증을 말한다. 담낭벽에 혈액순환이 잘 되지 않아 허혈성 경색으로 인해 궤양 또는 괴사가 일어나고 괴사 된 조직이 2차적으로 세균에 감염된다. 임상증상은 급성담낭염과 비슷하나 담낭으로 공급되는 신경섬유의 괴사로 초음파적 Murphy sign 은 없다.
US finding
- 담낭이 비대해지고 담낭벽이 비후 된다
- 담낭 내 격막이 있다



괴저성 담낭염 (Gangrenous cholecystitis) 3. 담낭 천공 (GB perforation)
담낭은 신선한 혈액이 저부에 가장 나중에 도달하기 때문에 괴사 된 담낭저부에서 약 10% 담낭천공이 발생한다. 담즙이 복강 내로 들어가 담즙성 복막염을 일으키기도 한다. 누출된 액체가 넓게 퍼지지 못하고 담낭주위에 국한되는 경우도 있다. 증상으로는 우상복부통증, 오심, 구토 등이 있다.
US finding
- 담낭주위 띠모양의 경계가 좋은 액체저류가 보인다
- 담낭은 경계가 불분명해지며 팽팽해진다
- 심한 경우 저에코성 종괴들이 관찰된다



담낭 천공 (GB perforation) 4. Empyema of the GB (담낭 축농증)
급성담낭염의 80%를 차지한다. 지속적인 담낭관의 폐쇄로 정체된 답즙에 의해 농이 형성되고 세균이 중복으로 감염되면서 급성담낭염이 발생한다. 임상증상으로는 고열(high fever), 심한 우상복부통증, 백혈구 증가증이 있다.
US finding
- 불규칙하고 불분명한 담낭벽 비후
- 담낭비대
- 담석


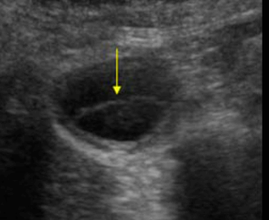
Empyema of the GB (담낭 축농증) 5. 무결석 담낭염 (Acalculous cholecystitis )
담낭협착이 아닌 담낭의 기능성 fail로 인해 담즙이 정체되는 것을 말한다. 급성담낭염의 5~10%에 해당되고 인공호흡등, 중증질환자에게 흔하게 나타난다.
US finding
- 담낭 내강 확장
- 불규칙한 담낭벽 비후
- 담낭부위 압통
- 담낭 내 가스
- 담낭 주변 액체저류



무결석 담낭염 (Acalculous cholecystitis ) 만성 담낭염 (Chronic cholecystitis)
만성 염증세포가 담낭의 전벽에 침착하여 담낭벽의 근육 및 장막층의 섬유화로 담낭벽이 두껍게 된다. 원인으로는 급성 담낭염의 결과로써 간혹 일어나기도 하지만, 대개는 급성 담낭염과 독립적으로 일어난다. 고령의 비만한 여성에게 호발 한다. 15%에서 총담관결석이 동반한 췌장염, 담관염, 총담관 담석증이 합병증으로 생기기도 한다. 임상증상은 대체로 우상복부통증, 재발성 산통, 가슴 쓰림, 약한 체온상승, 미미한 백혈구의 상승, 소화불량 등이 있다. 치료는 보존적 중재요법으로 저지방 식이요법, 체중감소, 미주신경 차단제 투여, 진정제, 제산제의 투여 등을 할 수 있으나 효과가 없을 때에는 담낭절제술이 선택될 수 있다.
US finding
- 반복된 염증에 의한 담낭벽 비후 (5mm 이상)
- 담낭 내 담석
- 시간이 지남에 따라 담낭은 위축된다 (retracted GB)
- 벽침윤형 담낭암과 감별이 어렵다



만성 담낭염 (Chronic cholecystitis) 반응형