-
목차
반응형담관 (Bile duct)
1. Normal anatomy
간에서 생성된 담즙은 좌우간관(left and right hepatic duct)을 거쳐 간문부에서 합쳐져 총 간관(common hepatic duct)을 이룬다. 총 간관 (common hepatic duct)은 담낭관(cystic duct)과 만나 총담관 (common bile duct)을 이루며 십이지장의 유두팽대부(ampulla of vater)로 들어간다.
- 담관은 담즙이 막힘없이 흐르고, 담낭은 수축기능이 원활할 때 정상으로 간주한다.
- 담관이 막혀 흐름에 방해를 받거나, 간장에 답즙 생산 장애가 있을 때는 담낭이 영향을 받게 된다.
- 담낭관 합류지점은 모든 수검자로부터 확인할 수 있다.
- 간외담관은 간장과 췌실질에 속박되지 않는 담관, 췌실질내 담관, 십이지장 유두 부네 담관등 세 분절로 구분하여
평가한다.




Bile duct 2. Normal duct measurement & US features
1) 측정방법
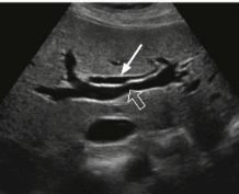
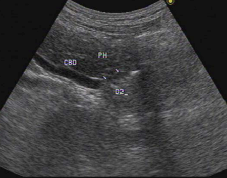
총담관(CBD) 확장 시 간동맥 (hepatic artery) 이 보이는 단면에서 wall 은 제외하고 측정한다. 총담관을 측정할 때 간동맥은 랜드마크가 된다.
2) 정상 직경 및 초음파 특징소견
- 총담관(common bile duct)의 직경은 7mm를 초과하지 않는다 (예외: 고령자, cholecystectomy 인경우 7~11mm 정상으로 간주한다.)
- 총 간관(common hepatic duct)은 4mm보다 작다.
- 60세 이후부터는 10년에 1mm씩 확장된다.
- 정상 담낭관(cystic duct)의 직경은 2mm보다 작으며 50% 에서 관찰된다.
- 간내담관(intrahepatic bile duct)의 좌우직경은 2mm 이하이다. 직경이 2mm 이상이거나 portal vein 직경의 40% 이상일 때는 확장된 걸로 간주한다.
- 간외담관(extrahepatic bile duct)은 총 간관(CHD)과 총담관(CBD)으로 나뉘고 그 끝은 십이지장 내 유두부이다.
- 간외담관은 십이지장과 연동하여 연동운동을 보인다.
- 십이지장의 연동운동에 맞춰 유두 부네 담관의 개폐(open and close)를 확인한다.
- 간외담관에 대한 초음파검사는 유두부(vater's papilla)까지 묘출하는 것을 원칙으로 한다.

intrahepatic duct measurement (left) 


intrahepatic duct measurement(right) 


extrahepatic bile duct 3) 지방식 (fatty meal)
- 지방식 전과 후의 동적 변화를 관찰
- 정상적으로 지방식 45분 후에는 크기가 같거나 감소한다.
- CBD가 지방식후 1mm보다 더 증가하면 담도 폐쇄를 의심할 수 있다.
3. Jaundice
1) 황달의 임상적 증거
- 혈액 내 빌리루빈이 증가한다 (elevated serum level of bilirubin)
- 소양증(pruritis) : 가려움증이 나타난다
- 혈액 내 serum GGT와 alkaline phosphatase가 증가한다.
- AST와 ALT는 증가하지 않는다.
2) Obstructive versus Non obstructive jaundice의 차이점
① 비폐쇄성 황달 ( Non obstructive jaundice )
- 원인은 감염(hepatitis), 간경화(cirrhosis), 미만성 전이암(diffuse metastases) 등 이 있다.
- 초음파상 담관의 확장 소견이 없다.
②폐쇄성 황달 ( Obstructive jaundice = surgical jaundice)
- 내인성 (intrinsic : within duct) : 총담관결석(cbd stone), 담낭관암(cholangiocarcinoma), 염증성폐색(inflammatory occlusion)등 이 있다.
- 외인성(extrinsic: outside duct): 췌장종괴(pancreatic masses), 췌장염(pancreatitis), 가성낭종(pancreatic pseudocyst), 간종괴(hepatic masses)등이 있다.
반응형