-
목차
반응형Focal liver disease - HCC & Liver metastases
1. HCC, hepatocellular carcinoma = hepatoma
원발성 간암으로 간세포에서 발생하는 간세포암과 담관에서 발생하는 담관암이 있다. B형 간염, 만성 간질환, 간경화 환자에서 선종성 과형성이 간암으로 이행된다. 대부분 간경화를 합병하기 때문에 복수, 문맥압항진증, 비장종대 등이 나타난다. 우엽에서 발생률이 높다. 대부분 무증상이므로 정기적인 초음파검사와 혈액검사를 통해 조기 발견해야 한다. 임상증상으로는 체중감소, 우상복부통증, 식욕부진, 복부팽만, 소화장애, 황달등이 나타날 수 있다.
간세포암의 형태
(1) 결절형 간세포암(nodular type)
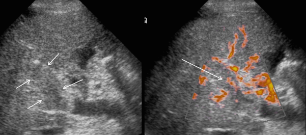
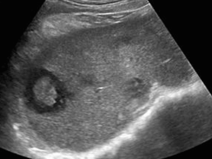
암부위와 정상조직의 경계가 뚜렷한 것을 말한다. 종양 내에 섬유성의 격벽이 존재하며 이것에 의해 소결절로 다시 구분된다. 간세포암의 초음파상은 직경 3cm 이상의 결절형이 특징적이며 저에코의 격벽과 경계가 되는 에코레벨이 다른 소결절이 모자이크 패턴(mosaic pattern)으로 관찰되며 피막에는 달무리(halo)가 존재한다.
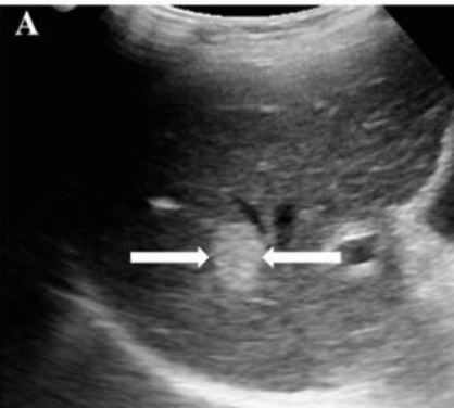
① <2cm small hcc sono finding
- well define
- round shape
- hypoechoic / hyperechoic, bright loop sing pattern (지방화, 탈분화 동반 경우 드물게 보임)
- irregular / indistinct margin
- halo (-)
감별진단
- focal fat sparing (hypoechoic 할 경우)
- hemangioma (hyperechoic, bright loop sing pattern (지방화, 탈분화 동반한 경우)



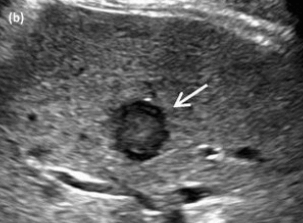
<2cm small hcc sono features ② 2~3cm hcc sono finding
- hypo-hyperechoic
- ireegular margin
- halo(+) 종양이 2cm 이상 커지면 주위조직을 밀게 되면서 피막이 형성되면서 저에코 테두리가 나타남. (간세포암의 40~50%)
감별진단
- metastases


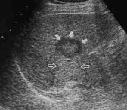
2~3cm hcc sono features ③ 3~5 cm hcc sono finding
- hypo-hyperechoic
- heterogenous
- irregular
- hump sign (표면에 존재하는 결절형 종괴에서 간표면으로 종괴가 돌출하는 경우 나타난다)
- mosaic pattern (종양내부에 괴사나 출혈이 생겨 내부에 균열이 있는 것처럼 보이는 모자이크패턴이 나타남)
- color doppler : internal mass pattern (feeding artery)
감별진단
- FNH
- Adenoma

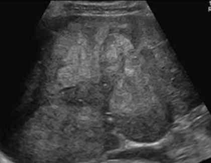
3~5 cm hcc sono features (2) 괴상형 간세포암 (massive type)
섬유성 피막이 없으며 암부위와 정상부위의 경계가 불확실하고 불규칙한 것을 말한다. 간구역 한 개나 두 개를 침습한다. 종양의 초음파상에 특징적인 소견은 없으며 문맥 종양 혈전이 흔히 동반된다. 간내담관으로 종양이 침범하여 담관확장이 있는 경우는 담관암과의 감별이 필요하다.
① >5cm hcc sono finding
- massive type
- heterogenous
- irregular margin
- 괴상형, 부정형
- 중심부 응고 괴사진행( cystic change, calcification)
- color doppler: basket pattern
감별진단
- CCC
- atypical hemangioma
- adenoma



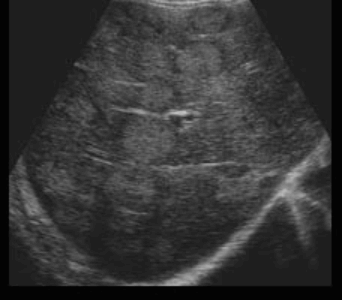
>5cm hcc sono finding (3) 미만형 간세포암(diffuse type)
간 전체가 결합조직으로 둘러싸인 무수히 작은 종양결절로 뒤바뀐 형태를 말한다. 침윤성 발육으로 인해 정상조직 부위와의 경계는 불분명하다. 간경변증의 거친 간실질상과의 감별은 어렵다. 하지만 문맥 내 종양혈전(portal vein thrombosis)의 존재로 인해 미만성 간세포암이 발견될 가능성이 매우 높지만 문맥 내 종양혈전은 문맥을 따라 간전이를 일으키므로 대장암, 위암 등의 간전이에서도 볼 수 있다. 예후가 매우 불량한 편이다.

미만형 간세포암(diffuse type) Abnormal laboratory data
- alpha-feto protain (AFP) 50~90% 증가
- carcinoembryonic antigen 증가
- gallium 67 scan에서 양성
- AST, ALT level 증가 (not clinical screen)
- prothrombin time 증가
- alkaline phosphatase 증가
2. Liver metastases (전이성 간암)
대장, 위장, 폐, 유방, 췌장등에서 발생한 악성종양이 문맥, 간동맥등 혈관을 통해 간으로 전이되는 질환을 말한다. 소화기 암이 간으로 가장 많이 전이를 일으킨다. 간은 동맥과 문맥에서 이중으로 혈관을 공급받기 때문에 혈행성 전이를 잘 일으킨다. 성인에서 원발성 간암보다 18~20배 더 많이 발생하며 간의 악성 종양중 가장 흔하게 나타난다.
소아에서 가장 흔한 전이성 간암의 원인은 신경배아세포종(neuroblastoma)이다. 전이성 간암은 간경화를 동반하지 않는다.
US finding
- 동일한 크기의 다발성 종괴가 나타난다.
- 고에코의 다발성 종괴: 대장암이 많으나 위암도 비교적 흔하다.
- 저에코의 다발성 종괴: 유방암, 폐암등에서 나타난다.
- 석회화나 내부 낭성 변성은 전이성 간종양을 시사하는 소견이다.
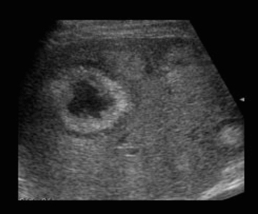
- bull's eys sign (종양 변연에 중심부가 고에코이고 경계부가 저에코인 두꺼운 띠가 보인다)
- cluster sign (종양이 융합하여 분엽모양을 이루어 마치 포도송이 모양을 나타낸다)
감별진단
- abscess
- multiple hemangioma
- focal fat sparing
- HCC


Liver metastases (전이성 간암) 

Liver metastases (전이성 간암) Abnormal laboratory data
- serum alkaline phosphatase 증가
- serum alpha-fetoprotein 증가
전이성 간암의 크기에 따른 종괴형태의 변화

전이성 간암의 크기에 따른 종괴형태의 변화 간세포암과 전이성 간암의 감별진단

간세포암과 전이성 간암의 감별진단 반응형