-
목차
반응형Liver anatomy & Normal variation
1) Anatomy of liver
간은 우상복부에 있고 복강 내 장기로 인체에서 가장 큰 장기이다. 간의 무게는 1.5~2.0kg 정도이고 머리 쪽으로 갈수록 두껍고 다리 쪽으로 갈수록 얇아지며 우측으로 갈수록 두껍고 좌측으로 갈수록 얇아진다.
간의 윗면인 횡격막 표면은 불룩하여 횡격막과 접해 있고 이면의 뒷부분은 복막이 덮여 있지 않은 무장막 구역(bare area)으로 바로 횡격막에 연결되어 있다. 간은 우엽, 좌엽, 미상엽으로 크게 3 부분으로 구분되며 우엽이 좌엽보다 4배에서 6배 더 크고 미상엽이 가장 작다.
2) 간의 혈액 공급
간내 혈관은 문맥(portal vein), 간동맥(hepatic artery), 간정맥(hepatic vein) 이 있다.
문맥, 간동맥, 담관은 섬유조직(Glisson's capsule)에 싸여있다. 인체의 모든 장기는 심장으로부터 나온 동맥의 영양 공급을 받고 정맥을 통하여 노폐물이 배출되게 되어 있으나 간은 예외적으로 이중 혈액 공급을 받는다.
① 문맥(Portal vein)
문맥은 비장정맥(splenic vein)과 상장간막정맥(superior mesenteric vein), 하장간막동맥(inferior mesenteric vein)이 만나 형성된다. 문맥은 위나 장에서 흡수된 영양분을 포함한 혈액이 75% 유입되는 기능혈관으로 정맥으로 이루어져 있지만 동맥의 역할을 한다.
문맥의 벽은 두꺼운 결합조직으로 되어 있기 때문에 초음파상 고에코의 벽이 보이고 호흡에 따른 직경 변화가 없다.
②간동맥(Hepatic artery)
복부 대동맥(abdominal aorta)의 가지인 복강동맥(celiac artery)은 총간동맥(common hepatic artery)과 비장동맥(splenic artery) 좌위동맥(left gastric artery)으로 갈라진다. 총간동맥(common hepatic artery)은 다시 고유간동맥(proper gastric artery)과 위십이지장동맥(gastroduodenal artery)으로 갈라진다. 간동맥은 산소가 풍부한 혈액을 간에 25% 공급하여 영양혈관이라 하고 직경이 작기 때문에 초음파상으로 잘 보이지 않는다.
③간정맥(Hepatic vein)
간정맥은 우간정맥, 중간정맥, 좌간정맥으로 구성되어 있고 하대정맥(inferior vena cava, IVC)으로 들어가서 심장에 이른다. 미상엽(caudate lobe)은 하대정맥에서 바로 배액 되는 단일 간정맥을 갖는다. 간정맥의 벽은 초음파상으로 무에코로 보이나 우간정맥에서 초음파빔이 수직으로 입사할 때만 고에코로 보이고 숨을 들여 마실 때 숨을 내쉴 때 간정맥의 직경이 더 넓게 보인다.
3) Hepatic segmental anatomy(간의 분절 해부학)


S1 caudate lobe (미상엽)
S2 superiolateral segment (좌외측 상구역)
S3 inferiolateral segment(좌외측 하구역)
S4 medial segment(좌내측 구역)
S5 anteroinferior segment(우전측하구역)
S6 posteroinferior segment(우후측하구역)
S7 posterosuperior segment(우후측상구역)
S8 anterosuperior segment(우전 측 상구역)
ⓐhepatic vein
left hepatic vein:간의 좌엽을 내측구역(S4)과 외측구역(S2, S3)으로 분리
middle hepatic vein: 간의 좌엽과 우엽을 분리
right hepatic vein:간의 우엽을 전구역(S5, S8)과 후구역(S6, S7)으로 분리
ⓑfalciform ligament(겸상인대)
복막이 간원삭(ligament teres) 쪽으로 주름져 생김
간의 좌엽을 내측구역(S4)과 외측구역(S2, S3)으로 분리
간을 횡격막(diaphragm)에 고정
ⓒligament venosum(정맥관삭)
태아 정맥관의 잔재물
간의 좌엽으로부터 미상엽을 분리
초음파상 고에코 선(hyperechoic line)으로 보인다
ⓓligament teres(간원삭)
태아 제정맥(umbilical vein)의 잔재물
간의 좌엽을 내측구역과 외측구역으로 분리
초음파상으로 둥근 고에코 구조물로 보인다.
ⓔmain lobe fissure(주엽열)
간의 좌엽과 우엽을 분리
담낭의 위치변화가 있을 경우 담낭을 찾는 해부학적 지표가 된다.
ⓕcantlie's line
하대정맥과 담낭을 연결하는 선
간의 좌엽과 우엽을 분리
ⓖporta hepatis(간문부)
유입은 portal vein, hepatic artery이고 유출은 hepatic duct이다.
ⓗcoronary ligament(관상인대)
간의 위쪽을 싸고 있고 간을 횡격막에 붙잡아 매는 역할을 한다.
ⓘbare area
무장막으로 복막에 덮여 있지 않은 구역으로 직접 횡격막에 붙어 있다.
4) Normal variation
1. Riedel's lobe

Riedel's lobe 간우엽이 소혓바닥처럼 길고 두껍게 도출되어 장골극까지 하강하는 선천적 정상변이이다. 주로 여자에서 보인다.
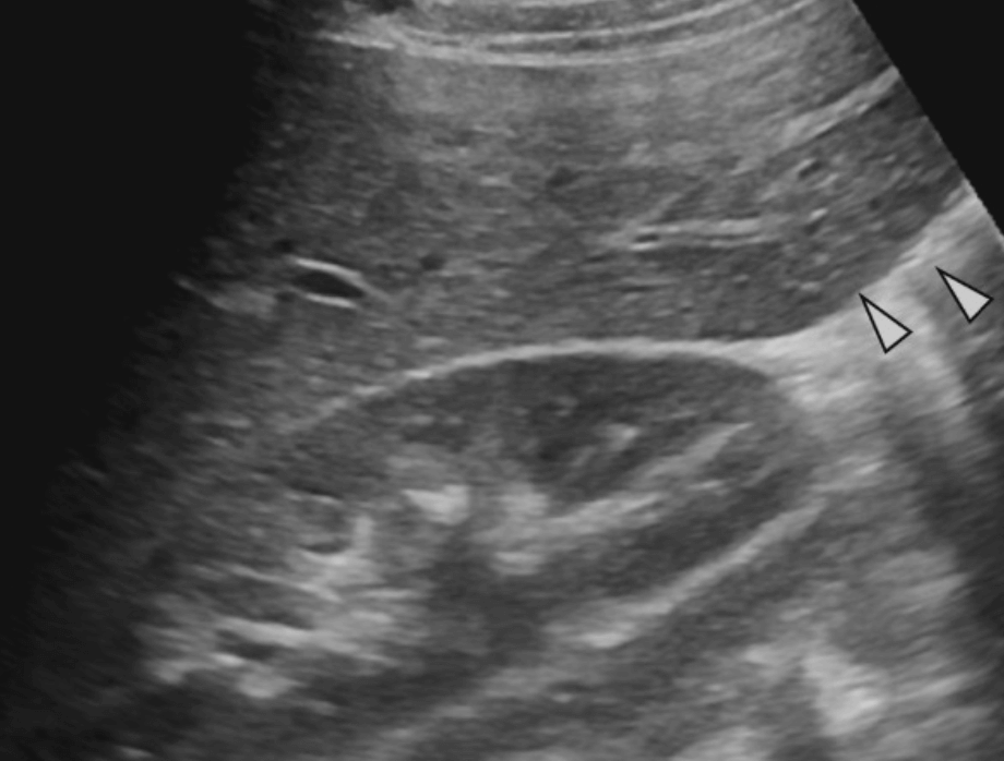
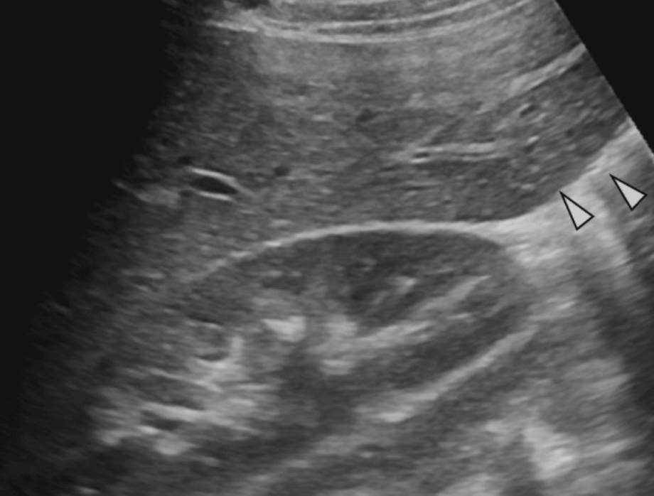
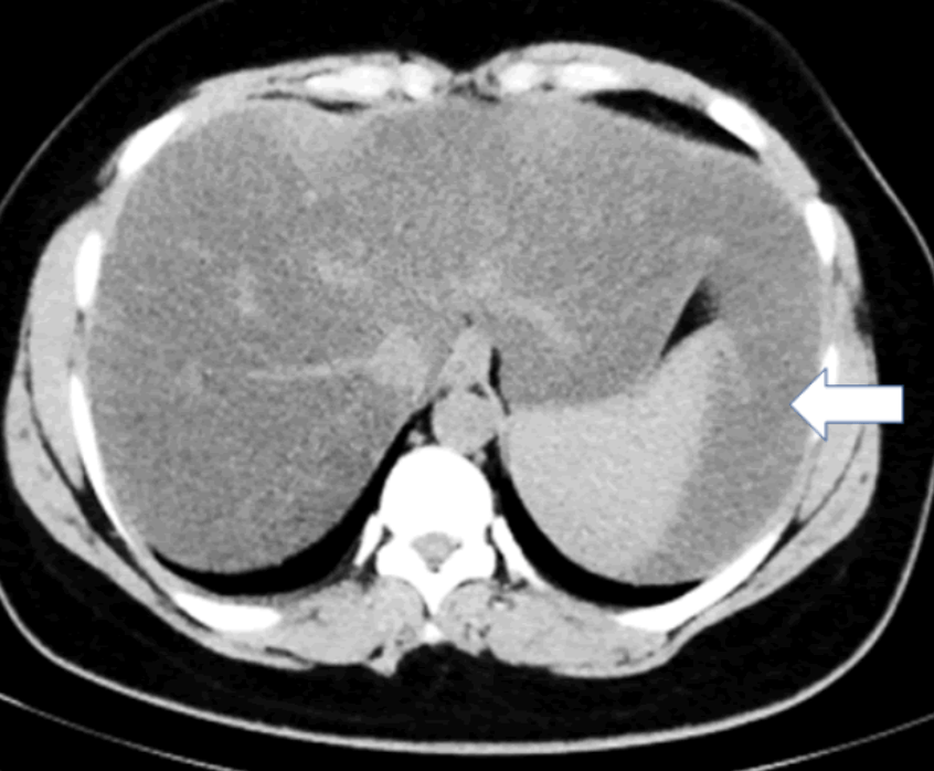
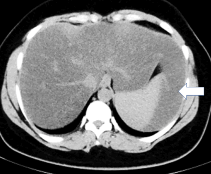
2. Long left lobe of the liver = Beaver tail liver


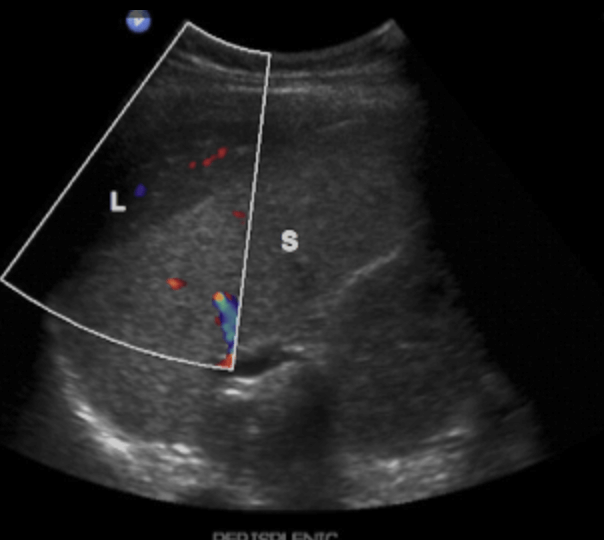
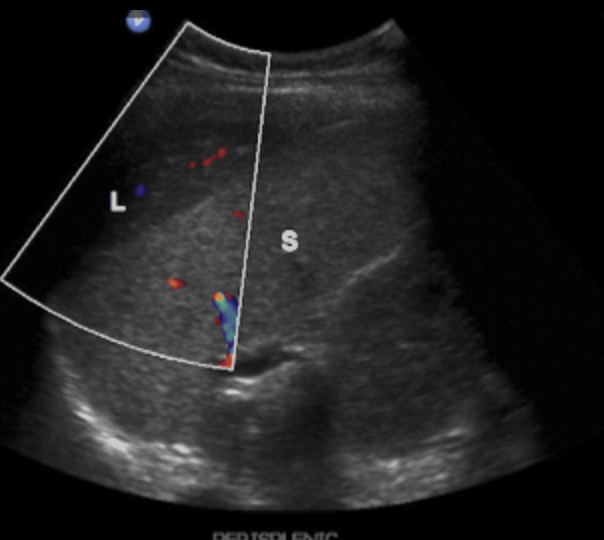
Beaver tail liver 좌엽이 길고 커져서 비장에 인접해 있다. 마치 비장의 피막하 혈종(subcapsular hematoma)처럼 보인다. 주로 마른 여자에서 확인된다.
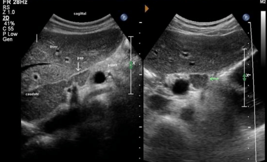
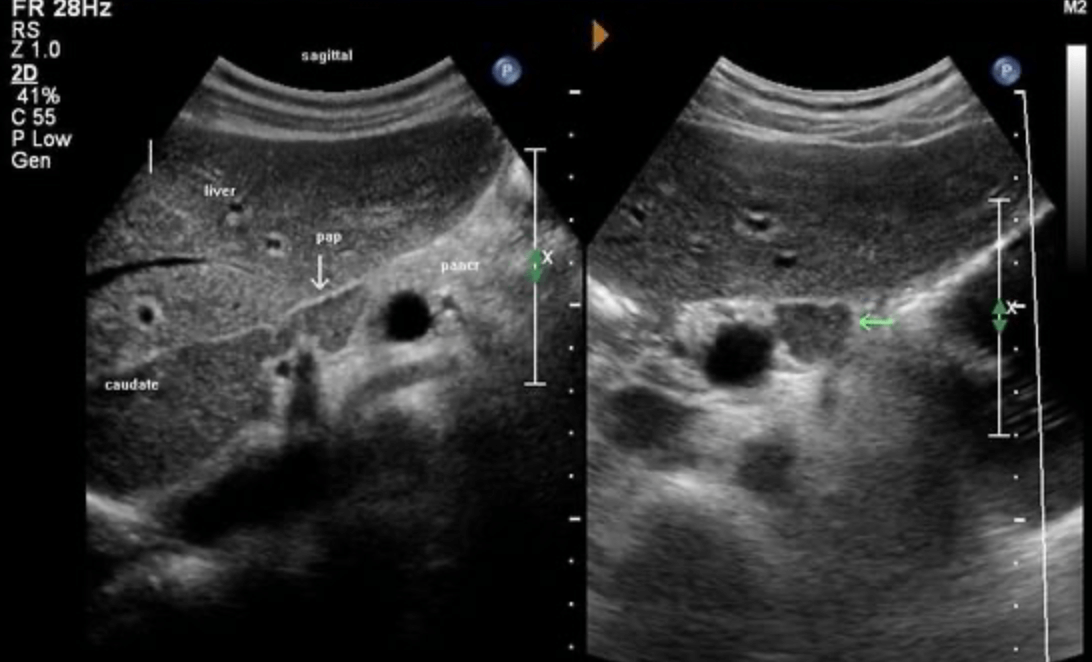
3. Caudate process

Caudate process 미상엽이 아랫부분 우엽까지 확장된 것이다.
4. accessory hepatic fissure

accessory hepatic fissure liver의 dome부위에 선천적으로 복막이 간실질로 함입되면서 보이는 옆이 고에코로 확인된다. 횡격막하에 림프절이 석회화되어 있으면 부간열로 오인하기 쉽다.
반응형