-
목차
반응형Diffuse liver disease - Acute hepatitis & Chronic hepatitis
1) 급성간염 (Acute hepatitis)
급성간염은 바이러스, 알코올, 약물에 의한 중독으로 인해 간세포의 변성 및 괴사를 일으키는 염증성 질환이다.
바이러스성 간염의 종류로는 A형, B 형, C 형, D 형, E 형, G형 등이고 우리나라에서 주로 문제가 되는 것은 A형, B 형, C 형이다. 이 중에서 만성 간질환을 유발하는 것은 B 형,C 형이다. 급성간염의 증상은 식욕부진, 전신권태와 같은 감기 증상이 나타나고 그 후 발열, 구토, 복통, 황달 등이 나타난다. 또한 간이 종대되고 간실질 에코가 저하되어 간내혈관의 말초가지가 다수 관찰된다. 이것은 간세포의 부종으로 인해 글리슨씨초 (Glisson sheath) 내의 혈관과 간소엽과의 음향임피던스의 차이가 커져 혈관벽의 반사가 강해지기 때문이다. 중증 예에서는 담즙이 생성되지 않기 때문에 담낭이 위축하거나 일시적인 문맥압 항진 상태를 반영해 담낭벽이 비후 되기도 한다.
대부분의 경우에서 급성간염의 초음파소견은 정상으로 나타난다. 그러므로 초음파소견만으로 급성간염을 진단하는 것은 정확하지 않을 수 있으며 임상소견과 혈액검사 소견을 종합하여 평가해야 한다.
급성간염이 의심되는 환자에서 초음파검사의 중요한 역할 중 하나는 간 기능의 이상이 담도폐색에 의한 것은 아닌지 감별하는 것이다.
복통은 뚜렷하지 않은데 구역, 소화불량, 피로함 등의 증상으로 시행한 초음파상 담낭벽 비후는 급성간염을 진단하는 단서가 될 수 있고 혈액 검사가 필요하다.


급성간염 (Acute hepatitis) US finding
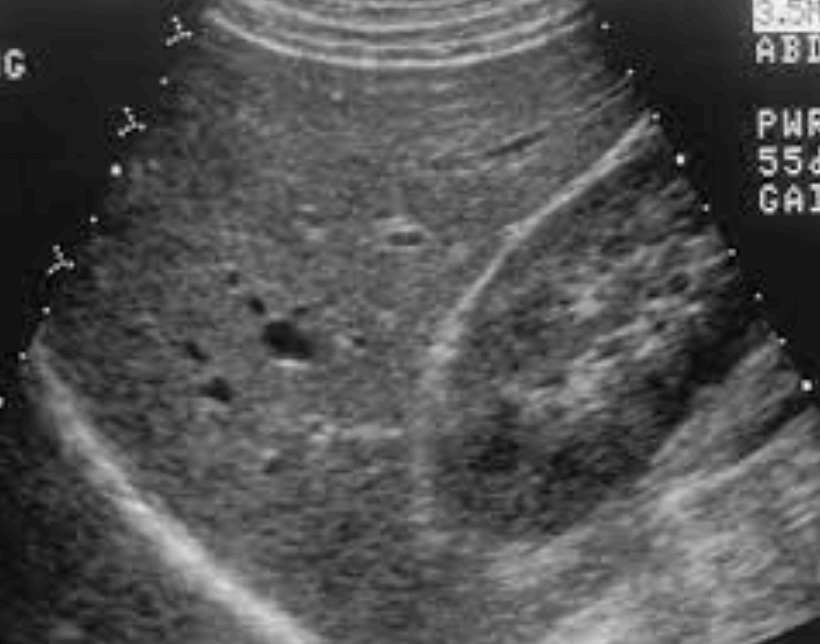
- 간실질의 부종으로 인해 간이 전체적으로 저에코로 나타난다
- starry sky appearance (급성간염에서 간실질 에코의 감소와 문맥벽 에코의 증가로 밤하늘의 별과 같이 보이나 진단의 민감도와 특이도는 낮은 편이다.)
- 담낭이 수축하고 담낭벽이 두꺼워진다.
- 맥관 말초지까지 관찰이 용이하다.
- 림프절이 종대 된다
- 간종대(hepatomegaly)
- 초기에는 정상이지만 염증기간이 길어질수록 비장이 종대 된다. (splenomegaly)
- 초기 간염은 초음파상 정상처럼 보인다.
혈액검사
- AST, ALT 수치가 증가한다.
- Alkaline phosphatase 수치가 증가한다.
- bilirubin 수치가 증가한다.
감별질환
- 급성담낭염
- 만성간염
2) 만성간염 (Chronic hepatitis)
만성간염은 6개월 이상 지속되는 간염으로 급성간염과 간경화의 중간단계이며, 문맥영역을 중심으로 원형세포 침윤과 섬유의 증가를 동반한 만성염증이 지속되는 병태이다. 임상적으로는 비활동형과 활동형으로 크게 나누어진다. 진행도에 따라 초음파소견에 이상소견을 보이지 않는 예부터 간경변증에 가까운 예까지 다양하게 나타난다. 원인으로는 바이러스성 간염이 가장 빈도가 높으며 특히 C형 간염(45%), 다음으로 B형 간염(5~10%)의 순으로 만성화되기 쉽다. 그러나 A형 간염은 만성화되지 않는다. 그밖에 자가면역성 간염(루포이드 간염)이나 약제성 간장애가 있다. 루포이드간염은 전신성 홍반성 루푸스, 궤양성 대장염, 아급성 갑상선염 등에 합병되는 경우가 많으며 약제성 간장애는 담즙울체형 간염의 원인이 된다.
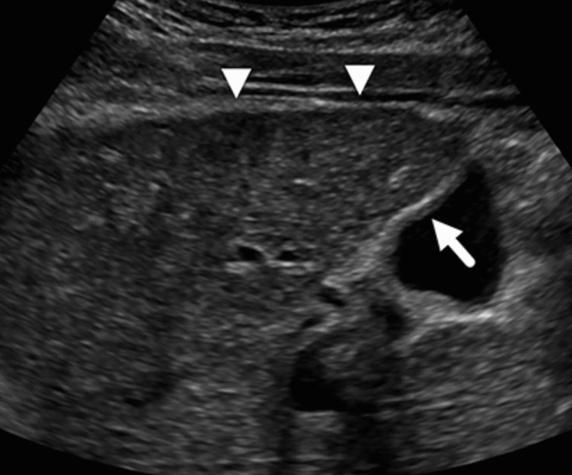
만성간염의 초음파소견은 간실질 에코가 약간 거칠어지며, 간연의 끝이 둔화하고 간좌엽이 종대 된다. 또, 간 이외의 소견으로는 간문부 부근의 림프절이 종대 하는 경우도 많으며, 특히 C형 간염에서 그 빈도가 높다. 총간동맥간 림프절과 간십이지장간막 림프절의 종대는 전이성 림프절 종대와 달리 구형이 아닌 편평하고 타원형에 가까운 형태를 나타내는 것이 특징적이다. 비장종대는 활동형에서 빈도가 높으며 비장종대의 정도도 심해진다.


만성간염 (Chronic hepatitis) US finding
- 간실질의 불균질 한 에코가 증가한다.
- 문맥 말초지의 묘출 불명료
- 간의 변연이 둔탁해진다
- 담낭벽(GB wall) 이 3mm 이상 비후된다.
- 비장종대 (splenomegaly)
- 초음파상 진행정도에 따라 정상 간 소견에서 간경화에 가까운 소견까지 다양하다.
- 간이 커지는데 특히 간좌엽의 커짐을 관찰하기 쉽다.
감별질환
- 간경변증( liver cirrhosis)
3) 바이러스성 간염의 종류
A형 간염
A형 간염은 현재 우리나라에서 소아에 발생하는 급성간염의 대부분을 차지하고 있다. 위생상태가 불량한 저개발국가에서는 수질오염이나 오염된 음식물을 섭취해 집단으로 발병할 수 있으며, 우리나라 급성 바이러스 간염의 가장 흔한 원인이다.
B형 간염
B형 간염은 우리나라에서 가장 흔한 바이러스성 간염의 원인으로 인구의 5~8% 가 감염되어 있다. 특히 산모가 간염 되었을 경우 모자간 수직감염으로 출산 직후 자녀가 감염이 된다. 또한 감염된 배우자와의 성관계, 비위생적인 주사 바늘, 면도기, 침, 혈액투석 치료환자, 환자의 혈액을 취급하는 의료인도 감염 위험도가 높다. 성인이 되어서 B형 간염에 감염된 후 완치되지 못하고 만성으로 이행되는 비율은 5% 미만이지만, 모태감염의 경우는 90% 이상 만성화가 된다.
C형 간염
C형 간염은 주로 환자의 혈액을 통해 전염되는 감염이다. C형 간염 바이러스 보균자의 혈액이나 기타 체액 내에는 바이러스의 숫자가 매우 적으므로 산모에서 태아로의 수직감염빈도는 현저히 낮은 편이다. C형 간염은 B형 간염과 다르게 감염 후 자연회복이 잘 되지 않아 만성간염으로 진행될 확률이 85% 나 되며 이중 약 25~30% 에서 간경변증으로 진행된다.
반응형