-
목차
반응형1. FNH (Focal Nodular hyperplasia)
FNH는 간에서 두 번째로 흔한 고형 종양으로 간혈관종 다음으로 유병률이 높으며 동정맥단락이 있는 간조직 내에서 정상 간세포 담관 성상세포(kuffer's cell)의 수가 비정상적으로 증가하는 것이다.
비교적 젊은 사람에게 우연히 발견되며 경구피임약(oral contraceptive)을 복용하는 젊은 여성에서 많다.
악성가능성이 없으며 파열될 가능성도 적은 편이다.
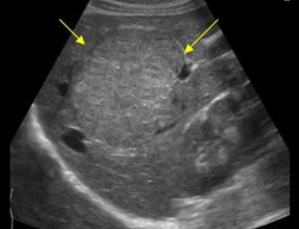
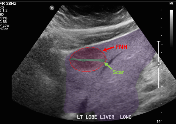
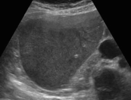
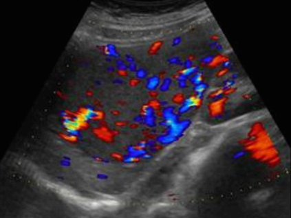
FNH의 경우 초음파소견은 다양하다. 병변은 등에코, 저에코, 고에코의 균질한 덩어리로 나타날 수 있다. 간내 혈관을 대체할 수 있는 대량 효과가 있다. 단지 18%의 사례에서만 중앙 흉터(저에코성 센터)가 존재한다. 이는 간혈관종과 매우 유사해 보인다. 또한 혈관 기형부위와 관련이 있다. 일반적으로 5cm 미만이다.


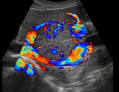
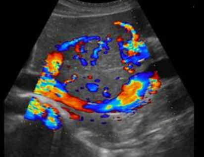
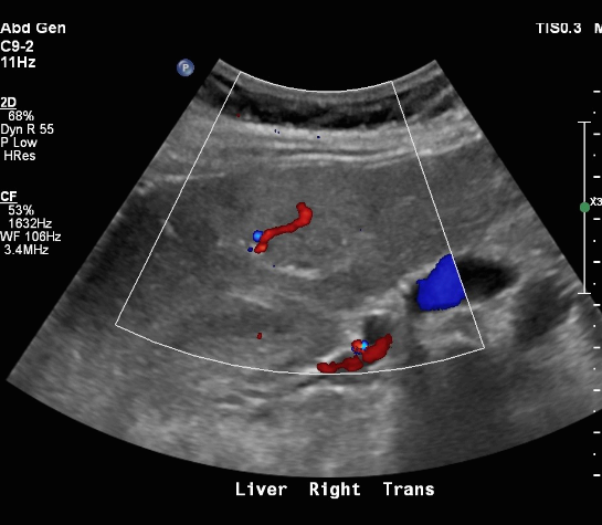
FNH (Focal Nodular hyperplasia) US finding
- spokewheel vascularity
- iso-hyperechoic mass


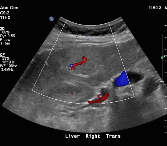
FNH (Focal Nodular hyperplasia) US finding
- hypoechoic lesion with central scar
- fatty liver


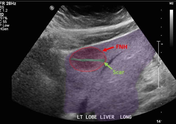
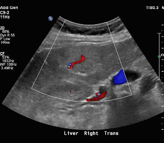
FNH (Focal Nodular hyperplasia) US finding
- isoechoic lesion
- central feeding artery
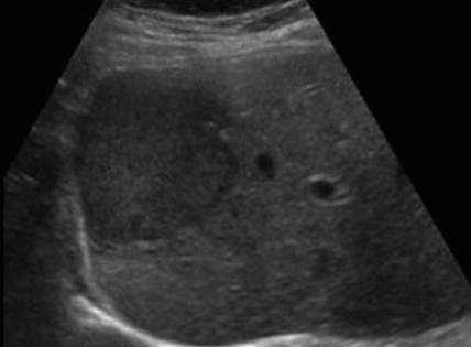
위에서 보인 초음파소견처럼 FNH는 경계가 명확한 균일한 종괴이며 내부에 섬유성 반흔이 있다. 에코는 저에코를 갖지만 간혹 고에코나 등에코등 다양하게 나타날 수 있으며 피막이 없다. 도플러상 과혈관성을 보이며 정상 간세포조직을 갖는다. 초음파 만으로 간암과 구별할 수 없으므로 혈액검사, CT 와같이 다양한 검사를 통한 진단이 필요하다.
2. hepatocellular adenoma (간세포선종)
담관(bile duct)과 이형성 간세포(atypical hepatocyte)에서 원발 하는 드문 양성 질환이다.
호르몬에 영향을 받으므로 경구피임약(oral contraceptive)을 복용하는 젊은 여성에서 흔하게 나타난다. 그러나 비만, 당뇨병, 스테로이드 사용도 위험요인이 된다. 악성으로 변할 가능성이 있으므로 추적검사와 외과적인 제거술을 추천한다. 간선종은 출혈이 있을 수 있으므로 진단이 중요하다. FNH보다 크기가 큰 편이며 주변에 지방이 남아있으면서 지방과 석회화가 포함될 수 있다. 초음파상 간선종은 저에코에서 고에코까지 에코발생 정도가 다양하다. 일반적으로 단독으로 나타난다.



hepatocellular adenoma (간세포선종) US finding
- 원형의 저에코, 등에코, 고에코등의 종괴로 다양하다.
- 피막을 갖는다
- 크기가 8~14cm으로 크다
- 간전이암이나 간세포암과 정확히 구별이 어렵다.
- hypoechoic rim (띠가 혈관이다)
- usually solitary and heterogeneous
반응형