-
목차
반응형
Classification of cystic hepatic lesions Focal liver disease - 간낭종
1. 전염성 간낭종 (Infectious)
1) 기생충성 간낭종 (Parasitic)
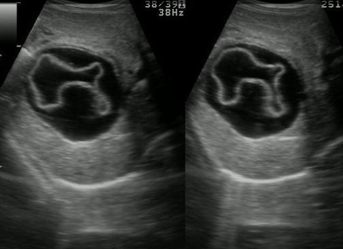
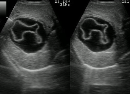
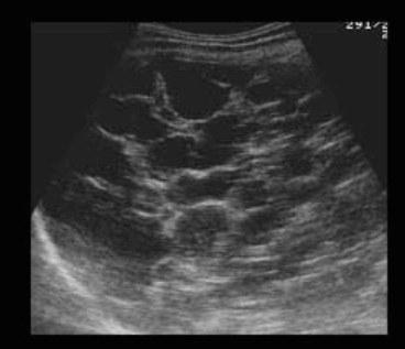
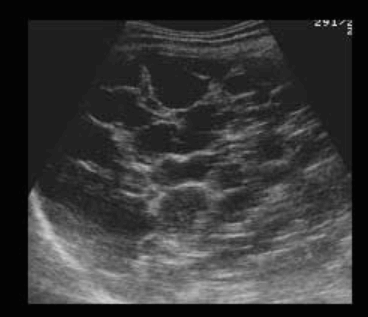
①간포충낭 (Echinococal disease = Hydatid disease)
포낭충증에 감염된 동물의 조직이나 배설물에 오염된 음식을 섭취했을 때 감염되므로 양이나 개와 접촉이 있는 사람에서 발견된다. 기생충에 감염된 개, 양등의 대변에서 나온 충란으로 사람이 중간숙주가 된다.
간에서 50% 이상 존재하고 폐, 골, 뇌, 췌장 순으로 감염된다.
▶단포낭충증
발육이 완만하며 오랜 시간 거쳐 서서히 증가해 주위 장기를 압박하여 증상을 발현한다. 유충은 간에서 나이에 둘러싸이고 5~20년 동안 자랄 수도 있다.
▶다포낭충증
악성이며 다른 장기로 전이하면서 담도전파나 2차 감염을 일으킨다.
US finding
- 원형으로 경계가 분명한 단순낭종이다.
- 큰 낭종 안에 작은 낭종이 존재(daughter cyst)
- 낭종벽내 석회화가 관찰된다 (cyst wall calcification)
- 백합모양(water-lily sign)


daughter cyst and water-lily sign ②아메바성 간농양 (amoebic abscess)
대장에 있는 이질아메바(Entamoeba histolytica)라는 기생충이 대장점막을 침범하거나 문맥을 통해 감염되는 질환이다.
아메바성 간농양은 장에서 혈액의 흐름을 따라 간까지 침범해 농양을 일으킨다. 주로 위생환경이 좋지 않은 동남아시아, 아프리카 등으로 여행을 하고 돌아온 후 5개월 이내에 발병한다. 성인 남자에 주로 장염 후 발생되며 최근에는 발병률이 낮은 편이다. 우엽에 호발하고 크기가 크다.
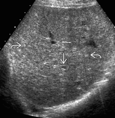
US finding
- (초기) 경계가 분명한 원형, 타원형 종괴로 내부에코는 저에코이다.
- (후기) 진행될수록 무에코로 변한다.
- location: 간표면 근처


amoebic abscess 2) 기생충성이 아닌 간낭종 (non-parasitic )
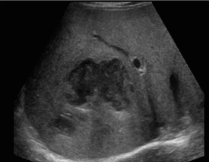
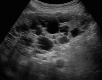
① 화농성 간농양(Pyogenic abscess)
화농성 간농양의 원인은 간에서 생산된 담즙이 배설되는 경로인 담관을 통해 세균이 타고 들어와 감염되는 상행감염 또는 인접장기로부터 직접감염, 외상성 감염으로 발생한다. 따라서 간담도계통으로 수술을 한 환자에서 정상적으로 세균을 막던 구조가 손상되면서 화농성 간농양이 발생할 수 있다. 원인균은 그람 음성 장내 세균(Escherichia-coli)이 가장 많으며 증상은 고열(high fever), 구토(vomitting), 우상복부통증, 오한(chill) 등이 있다. 그중에서도 화농성간농양의 가장 흔한 증상은 발열이다. 또한 노년층, 다른 질환이 있어 면역기능이 저하된 환자는 세균의 침입을 막지 못해 감염되기 쉽다. 그러나 초기에는 식욕감소, 전신근육통, 체중감소 등의 증상만으로 간농양이라고 판단하기 어려운 경우가 많다. 치료하지 않으면 예후가 나쁘고 치사율이 높다.
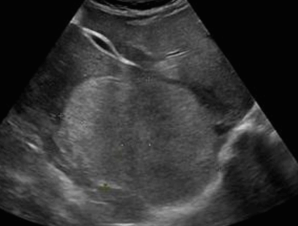
US finding
- 성숙도에 따라 소견이 다양하다.
- (초기) 명확하지 않은 경계로 내부에코는 저에코이며 작은 사이즈의 다발성으로 나타난다.
- (중기) 낭종으로 변화하여 혼합형으로 보인다.
- (후기) 액화 괴사되어 무에코의 낭종으로 보인다.
- location: 우측간엽(80%)


Pyogenic abscess ② 진균성 미세농양(Fungal microabscess)
진균성 미세농양은 곰팡이균에 감염되면서 간에 농양이 생긴 것이다.
2. 비전염성 간낭종 (Non-Infectious)
1) Benign
① simple cyst
말초담관에서 외상등에 의해 간내 담즙관의 불완전한 발달 등으로 발생한다. 대부분 초음파 검사에서 우연히 발견된다. 특별한 증상이 없으며 재발 가능성이 있으므로 흡인 배액술 하지 않고 주기적으로 검사한다.
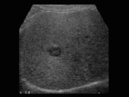
US finding
- 무에코(anechoic)
- 경계가 분명하다(sharp margin)
- 후방음향증강(posterior enhancement)
- 측방음영(lateral shadow)
감별진단
- 우측 신낭종(renal cyst)
- 굴곡된 담낭(gall bladder)
- 담관낭종(choledochal cyst)
- 괴사 된 전이성 간암(metastatic liver cancer)


simple cyst ② polycystic liver disease (PLD)
상염색체 우성 다낭성 간질환이라고도 불리는 다낭성 간질환은 유전성 질환이다. 간전체에 흩어져 있는 다양한 크기의 낭종의 점진적인 성장이 특징이다. 이 상태의 영향을 받은 사람들은 나이가 들어감에 따라 점점 더 큰 낭종을 갖는 경향이 있으며 보통 30세부터 증상이 나타나기 시작한다. 그러나 많은 영향을 받은 사람들은 증상이 없다. 대부분의 경우는 상염색체 우성으로 유전되지만, 일부는 가족력이 없는 가정에서도 발생한다. ADPKD를 가진 대부분의 사람들은 간낭종을 가지고 있다.
US finding
- 다양한 크기로 다발성
- 다수 발생 시 간종대 발생
- 60~70% 다낭성 신질환과 동반된다
- 낭종벽에 석회화 동반
- 격막이 형성되어 있다


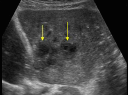
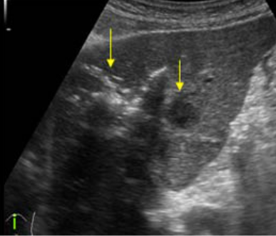
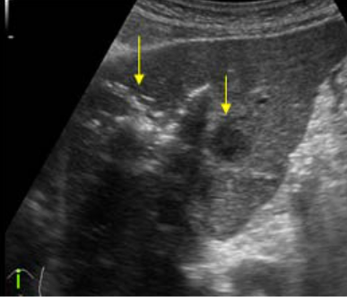
polycystic liver disease ③ bile duct hamartomas
다발성 담관 하마토마 또는 Von Meyenburg 복합체라고도 알려져 있다. 배아 발생기간 동안 얽히지 않은 발생학적 잔해인 확장된 낭포성 담관을 특징으로 하는 희귀한 양성 간 기형이다. 일반적으로 크기가 작고 (5mm 미만) 간 전체에 흩어져 있는 여러 병변으로 나타난다. 대체로 증상이 없으며 비교적 양성 질환 경과를 보인다. 하지만 악성변형과 관련이 있을 수 있으므로 의심스럽거나 진행 중인 병변은 확실한 진단을 위해 추가로 정밀검사를 통한 확인이 필요하다.
US finding
- comet-tail artifact
- 크기가 작고 간전체에 흩어져 보임(multiple small hyperechoic lesion)
- echos scattered through the liver ( <1cm )



bile duct hamartomas ④ caroli disease
caroli 병은 간내 담관의 낭포성 확장을 특징으로 하는 희귀한 선천성 간질환이다. 전형적인 caroli 병은 담도의 기형만을 수반하는 반면 caroli syndrome 은 선천성 간섬유증과 관련된 증상을 말한다.
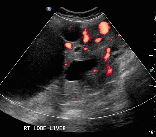
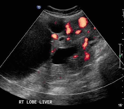
⑤ cavernous hemangioma(혈관종)
정맥의 혈액으로 채워진 여러 개의 작은 혈관에 혈류의 흐름이 느려져 혈전이 형성된 후 종괴처럼 보이는 것을 혈관종이라고 한다. 간의 양성종양 중 가장 흔한 질환이다. 초음파상 우연히 발견되며 거의 증상이 없다. 여성에서 5배 더 흔하고 분만경험이 있는 30-40대 여성에 많이 발견된다. 대부분 단발성으로 우측 간의 피막하나 혈관주위에 발생한다.
US finding
- 2cm 이하는 내부 균일한 고에코 종괴로 보인다
- 3cm 정도 되면 내부에코가 약간 저하된 종괴로 보인다
- 5cm 이상은 고에코와 저에코가 뒤섞인 복합성 에코종괴로 보인다
- color doppler 검사 시 내부 혈액의 흐름이 없다
- 환자의 자세를 바꾸면 에코가 저하된다(chameleon sign )
- 프로브로 압박하면 에코가 달라진다 (disappering sign)
- 시간이 경과함에 따라 내부에코의 변화(wax and wane sign)
감별진단
- 국소지방침착(focal fat change)
- 국소 저지방영역(focal sparing area)
- 간세포암(HCC)
- 전이성 간암(Metastatic liver cancer)



hemangioma ⑥ intrahepatic pseudocyst
2) Premalignant
① biliary cystadenoma
② intraductal papillary
③ neoplasm of bile duct
④ caroli disease
⑤ bile duct hamartomas
3) Malignant
① biliary cystadenocarcinoma
② cystic hepatocellular
③ carcinoma
④ undifferentiated embryonal sarcoma
⑤ cystic liver metastases
4) Traumatic
간 외상은 교통사고, 구타, 낙상 등에 의해 발생할 수 있다. 증상은 우상복부 통증, 우측 어깨 통증, 복부 불쾌감, 저혈압등이 나타난다.
① biloma(담즙종)
담도의 외상성 혹은 자연적 파열에 의해서 담즙이 비정상적으로 간내 또는 간뇌에 축적된 것을 말한다. 담즙성분만 있는 경우 거의 무에코이지만 출혈이 동반되면 뭉친 섬유소(fibrin)가 선상 또는 그물코 모양구조로 관찰된다. 담즙종의 70%는 간우엽상부에 나타나며 30%는 간좌엽상부에서 관찰된다.
② seroma(장액종)
장액종은 체내에 맑은 액체가 쌓이는 것이다. 수술 후에 가장 많이 발생한다. 장액종은 종종 위험하지는 않지만 통증과 불편함을 유발할 수 있다.
③ hematoma (간 실질 내 혈종)
수술을 포함한 질병이나 상해로 인해 생긴 출혈이 밖으로 나오지 못하고 장기나 조직 속에 고여 있는 것을 말한다.
반응형