-
목차
반응형Diffuse liver disease - Passive congestion liver
울혈간 (Passive congestion liver)
울혈간(Passive congestion liver)이란 간정맥 속에 혈액이 정체되어 있는 상태이다. 심부전에 의해 심장근육의 탄력성이 저하되어 전신 순환을 하고 온 혈액이 우심방으로 들어와야 하는데 들어오지 못해 혈액이 정체된 것이다. 원인으로는 만성 고혈압, 심근증, 심근경색 등이 있다.
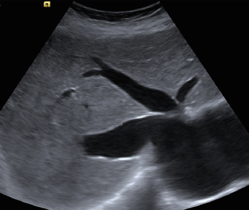
US finding
- 하대정맥(IVC) 및 간정맥(hepatic vein)의 확장
- 간장비대
- 늑막 및 늑막삼출액을 동반하는 경우도 있다.
- 플레이보이 귀징후(playboy bunny figure)
- 간정맥이 14mm 이상 학장된 상태
- 정상인은 심흡기시 간정맥의 직경변화가 있지만, 울혈성 간질환에서는 간정맥의 직경변화가 없다.



울혈간 (Passive congestion liver)
반응형