-
목차
반응형연조직 종괴(soft tissue tumor)의 진단은 해부학적 위치, 이학적 검사, 과거력, 나이 등에 의하여 진단이 가능하지만, 대부분의 연조직 종괴는 초음파 소견이 비특이적이다. 초음파 검사의 일차적 역할은 고형종괴와 낭성종괴의 감별 및 병리조직학적 진단을 위한 생검의 수단이다. 특징적인 초음파 소견을 보이는 종괴와 각 부위별로 자주 접하는 종괴에 대해 설명하고자 한다. 어떤 종괴는 사람 몸의 어디에서나 발병할 수 있고 비슷한 소견을 보이는데, 이들 중에서 몇 가지를 설명하려고 한다.
연조직 지방종
주로 어깨나 팔에 발생하지만, 다른 부위에서도 발생하며, 다발성일 수 있다. 연조직 지방종(soft tissue lipoma)은 피부밑 지방층, 근육 내, 또는 조직사이의 경계면에서 발견된다. 피부밑 연조직의 지방종은 둥그스름하고, 균질한 낮은 또는 같은 에코를 가지며, 색도플러에서 혈류가 없고, 탐촉자로 누르면 모양이 쉽게 변화하는 부드러운 종양이다. 지방종의 에코가 다양한 것은 종괴 안의 지방 및 결합조직의 양, 주변조직의 에코에 따라 달라지기 때문이다. 예를 들면, 균질한 지방종은 낮은 에코로 보인다. 종괴 안의 섬유질이 많으면 종괴는 더 낮은 에코를 보이게 된다. 지방종이 근육 안에 있게 되면, 초음파소견은 비특이적이지만, 종종 경계가 불분명한 높은 에코의 종괴로 보인다. 에코가 비슷한 피하지방층에 지방종이 있으면 초음파 검사에서 곧바로 구별이 안 될 때가 있다. 이때는 이학적 검사에서 만져지는 종괴를 손으로 만진 상태에서 검사를 한다. 종괴가 크거나 통증을 동반하는 경우에는 MRI 검사나 병리조직 검사가 필요하다.

지방종 초음파 영상 피부밑 지방층에서 높은에코의 작은 종괴가 있을 때는 추가적으로 혈관지방종(angiolipoma)이나 과오종(hamartoma)등을 감별진단에 포함한다. 과오종은 환자의 50%에서 통증을 동반하는 다발성 종괴로 나타난다. 지방층염(panniculitis)또는 외상 후에 생기는 피부밑 지방괴사(fat necrosis)는 다양한 에코를 가질 수 있지만 매우 비슷해 보인다.
연조직 혈관종 및 혈관 기형
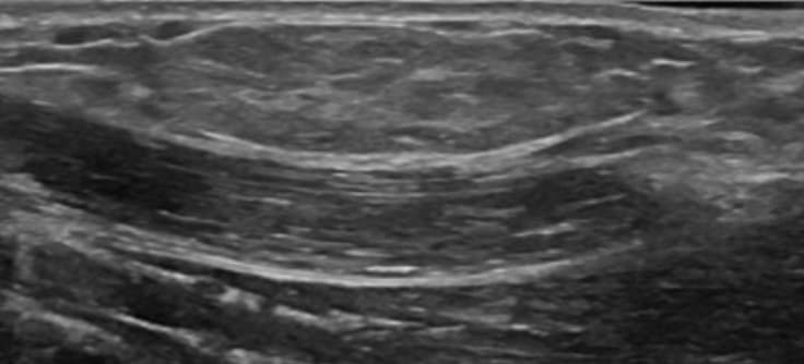
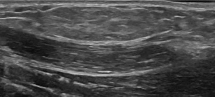
혈관 내피세포기형(endothelial malformation)은 혈관종(hemangioma)과 혈관기형으로 나눌 수 있다. 다시 림프관형, 모세혈관형, 정맥형, 동-정맥형, 혼합형 등으로 세분하기도 한다. 초음파 검사에서 혈관종은 낮은, 같은, 높은 에코 등 다양한 혼합형의 불균질 한 종괴로 보이고, 흔히 주변의 연조직과 경계가 불분명한 침윤성(infiltrative) 병변으로 보인다. 조직사이의 경계, 지방, 주변 연조직과의 경계는 낮은 에코로 보이는 것이 보통이며, 그 안에는 색도플러에서 에코가 없거나 낮은 에코의 혈관 분지를 보인다. 정맥돌(phlebolith)이 작은 석회화와 소리그림자를 동반하여 보이는데, 이는 기질화혈 전(organized thrombus) 안의 비정상조직 석회화(dystrophic calcification)이다.

혈관종 초음파 영상 혈관분지를 가지는 종괴 병변이 보이면 혈관종일 가능성이 높고, 종괴보다는 혈관 덩어리(tangle of vessels)가 보이면 혈관 기형일 가능성이 상대적으로 높다. 혈관종이나 동-정맥기형은 다른 혈관 기형보다 혈관이 굵고 그 수가 더 많다. 혈관종이 의심될때, 악성종양의 과혈관성 및 비정상조직 석회화를 감별해야 한다. 단순 촬영에서 특징적인 정맥돌을 확인하는 것이 도움이 되기도 한다. 경피적 조직생검이 필요할 수도 있다.
악성 연조직 종양
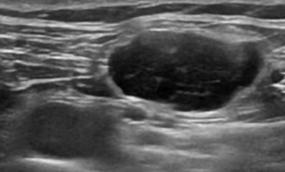
초음파 검사만으로는 악성 연조직종양을 진단할 수 없다. 그렇지만, 연조직 종괴가 인접한 관절과 분리되고, 내부의 괴사, 불규칙한 혈관 등을 가질 때 악성을 의심해 볼 수 있다. 연조직육종(soft tissue sarcoma)은 보통은 약간 낮은 에코를 보이나, 높은 에코, 과혈관성, 내부의 괴사에 의한 낮은 에코나 에코 없음을 보일 수 있다. 림프종(lymphoma)은 다양한 에코를 보이나, 주로 낮은 에코의 종괴로 나타나며, 메아리투과증가(through-transmission)에 의해서 깊은 부위가 밝게 보일 수 있다. 환자의 나이와 림프가 있을 위치에서 발견될 때 진단 가능하기도 하지만, 대부분은 경피적 조직검사가 필요하다.

림프종 초음파 영상 초음파유도하생검을 하면 인접한 혈관과 종괴 안의 괴사 부위를 피해서 바늘의 끝을 정확하게 종괴의 고형 부분에 위치시킬 수 있으므로 진단정확도를 높일 수 있다. 악성질환의 연조직 전이는 과혈관성의 다양한 에코의 종괴로 보인다. 초음파검사는 연조직 악성질환 치료 후 경과 관찰에서 연조직에 재발한 종괴를 찾는데도 이용된다.
임상적으로 찾아지기 전에 흑생종(melanoma)이나 전이(metastasis)가 초음파검사에서 찾아지기도 한다. 연조직 육종의 재발을 찾는데 초음파검사가 MRI 검사만큼 효과적이라는 보고도 있다. 연조직종양에 인접한 뼈의 이상이 보일 때 뼈의 침범 가능성을 의심할 수 있고 또는 원발성 악성 뼈종양이거나 뼈에 전이한 종양이 연부조직으로 퍼진(extension)것일 수도 있다.
반응형