-
목차
반응형근육과 힘줄의 손상(급성)
근육과 힘줄의 손상은 급성과 만성으로 나뉜다. 급성손상은 외부로부터의 직접 충격, 근육 수축 중에 발생하는 뻗침 손상, 관통상 등이 있다. 급성 근육손상은 임상적으로 세 가지 등급으로 나뉜다. 등급 1은 근육섬유의 손상이 없는 것이고, 등급 2는 근육의 부분 손상과 근육의 힘이 감소하는 것이며, 등급 3은 근육의 전체층 째짐이다. 근육손상의 초기에는 좌상과 출혈 때문에 낮은 에코로 보인다. 근육 전체층 찢어짐은 특징적으로 근육의 연속성이 없어지고, 끊어진 근육의 아래 끝과 이끝 사이가 벌어지게 되며, 수동적 근육운동 또는 능동적 수축에서 더욱 또렷해진다. 혈종은 시간이 지남에 따라 점점 낮은 에코로 변한다. 연조직의 출혈이 흡수되면 혈종의 크기가 작아지고, 혈종주위의 에코는 증가한다. 에코 없는 부위는 장액주머니로 남는다.
엉덩이에서 외상, 특히 벗겨진 손상에서 피하지방층과 근육 사이에 출혈이 생긴 것을 모렐-라발레 병변이라 한다. 남은 흉터는 낮은 에코로 보인다. 골화성 근염으로 흔히 불리는 이소성 골화는 낮은 에코로 보이며, 소리그림자를 동반한다. 근육의 외상 또는 해당부위의 신경손상은 근위축을 초래하여 근육의 크기가 작아지게 되고, 에코는 증가된다.

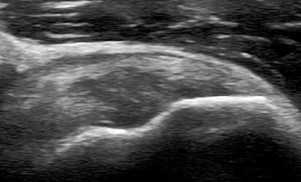
급성 근육손상의 초음파 이미지 외부로부터 받은 직접 충격에 의한 근육손상은 혈종과 다양한 정도의 근섬유 째짐을 동반한다. 반면에, 근육수축 중에 발생하는 뻗침 손상은 특징적으로 근육-힘줄 경계부 손상이고, 흔히 두 개의 관절을 건너가는 긴 근육에서 잘 생긴다. 예를 들면 넙다리뒤근육, 장딴지근안쪽갈래 등이다. 근육의 구조를 이해하는 것이 중요하다. 장딴지근안쪽갈래처럼 근육이 반깃근 구조이면 근육의 가장자리에서 근-힘줄 경계부 손상이 잘 일어난다. 근육의 구조가 휘돌 이기근 또는 깃근육이면 손상이 먼쪽 근-힘줄경계부 또는 근육 내의 중심널힘줄에서 잘 생긴다.
출혈, 염증액, 손상 후 경과시간, 손상정도 등에 따라 근-힘줄 경계부 손상은 다양한 밝기의 높은 에코로 나타난다.
소아에서 급성 힘줄손상은 힘줄이 붙는 뼈의 찢김 골절을 특히 잘 일으키고, 골절된 뼛조각은 높은 에코와 소리그림자를 가지기도 한다.
관통손상 또는 찢긴 상처는 어느 부위에라도 생길 수 있다. 근육이나 힘줄 손상은 부분 찢김, 또는 전체층 찢김으로 나눌 수 있는데, 동적검사를 하면 전체층 찢김의 소견을 더 뚜렷하게 볼 수 있다. 관통손상에서 유발된 조직의 공기는 초음파검사를 매우 어렵게 한다. 공기는 높은 에코이면서 불균질 한 소리그림자를 보인다. 손상된 근육 주위의 연조직이나 뼈를 관찰하는 것도 중요한데, 신경 등의 손상을 잘 동반하기 때문이다.
근육과 힘줄의 손상(만성)
만성적 근육 및 힘줄 손상은 주로 과사용으로 발생하며, 퇴행성변화와 찢어짐이 동반될 수 있다. 손상된 힘줄에는 호산구, 섬유성 및 점액성 변화는 있으나 급성 염증세포는 없다. 그래서 힘줄염이라기보다는 힘줄증이라는 표현을 사용한다. 초음파검사에서 힘줄증은 두꺼워진 낮은 에코로 보이는데 힘줄섬유의 찢어짐은 없다. 힘줄증은 색 또는 강화도플러에서 혈류증가를 보이기도 한다. 이는 염증이라기보다는 다른 원인에 의한 광혈류 때문이다. 예를 들면 발꿈치힘줄증의 혈류는 신생혈관 때문이며 통증과 관련 있다. 힘줄증은 힘줄 찢어짐으로 진행할 수도 있다. 또 근위축이 발생하면 에코가 높아지고 근육의 크기가 감소한다. 잘못 설치된 금속고정물에 의한 인접한 힘줄의 만성적 손상은 초음파검사에서 잘 보인다. 또 동적검사를 하면 금속고정물과 힘줄의 관계를 더 잘 알 수 있다.
뼈의 손상
정상적인 뼈의 표면은 부드럽고 매우 높은 에코를 가진 줄로 보이며 소리그림자를 동반한다. 또 소리그림자 안에는 소리 다시 부딪힘 인공물이 나타날 수 있다. 급성 골절의 전형적 소견은 뼈표면의 연속성 소실이며, 계단모양의 어긋난 비연속성을 보이기도 한다. 이때, 인접한 연조직에는 출혈에 의한 다양한 에코를 동반한다. 피로골절은 처음에는 뼈에 인접하여 낮은 에코의 작은 병변으로 보이며, 진행되면 골절의 전형적 소견인 계단모양 비연속성으로 바뀌거나, 아니면 높은 에코의 애벌뼈형성으로 변화한다. 탐촉자로 골절부위를 누르면 특징적인 날카로운 누름통증을 일으키기도 한다. 이런 환자는 흔히 국소통증을 가지므로, 검사를 끝내기 전에 환자에게 "혹시 그런 통증이 있는지?"를 물어보면, 임상의사나 초음파 검사자가 놓친 병변을 추가로 찾는데 도움이 된다.
힘줄이나 인대가 붙는 부위의 찢김 골절에서 작은 뼈 조각은 소리그림자를 동반하는데 그림자의 정도는 다양한다. 어린이에서 뼈 성장판의 불규칙과 비대칭적 넓어짐, 날카로운 누름통증이 있을 때에는 성정판골절을 시사한다. 뼈겉돌기는 관절에서 뼈끝에 생기며, 날카로운 누름통증이 없다. 단순촬영을 참조하는 것이 좋다.
초음파에서 발견되는 골절의 대부분은 진료의사가 의심하지 않았던 골절이다. 왜냐하면, 대부분의 환자에서 단순촬영이 정상이어서, 초음파검사로 연조직과 관절의 이상을 알고자 검사를 의뢰하기 때문이다. 이러한 예는 발에서 종종 보이며, 단순촬영에서는 여려 뼈가 겹쳐져 보여 관찰이 힘들 수 있다. 위팔뼈 몸 쪽에서 큰 거친 면 골절은 단순촬영사진에서 놓치는 경우가 흔히 생긴다. 왜냐하면, 환자의 팔이 부적절한 자세로 놓인 상태에서 촬영을 하게 되기 때문이다. 갈비뼈(늑골) 골절의 진단에는 단순촬영보다 초음파가 더 효과적이라는 보고도 있다. 골절이 치유되면서 초기에 보이는 낮은 에코의 애벌뼈는 높은 에코의 딱딱한 애벌뼈로 바뀌고, 이후 애벌뼈가 골절선을 덮어서 뼈가 연결된다. 이러한 소견은 팔다리늘림술에서도 보인다. 초음파검사로 새 뼈의 형성을 단순촬영보다 더 빨리 볼 수 있다. 정강뼈(경골) 골절의 불유합의 진단, 금속나사 고정술에서도 초음파검사가 이용된다. 금속나사의 표면에 애벌뼈가 없으면 나사의 끝이 높은 에코로 남게 되는데 이런 소견도 단순촬영보다 더 일찍 초음파검사에서 볼 수 있다. 그밖에 어린이에서 위팔뼈 먼 쪽뼈끝이나 갈비물렁뼈(늑골연골)의 관찰에도 이용한다.
반응형