-
목차
반응형연조직 감염과 염증
연조직 감염의 영상 소견은 감염경로에 대한 의학 지식으로 예상할 수 있다. 예를 들면 성인에서, 피부 궤양손상이나 찔린 상처를 통해서 흔히 연조직감염이나 연조직염(cellulitis)이 발생한다. 초음파 검사에서 초기의 감염은 피하지방층이 두꺼워지고, 높은 에코로 보이며, 나중에는 낮은 에코 또는 에코 없는 나뭇가지 모양(branching channels)의 염증액을 보인다.
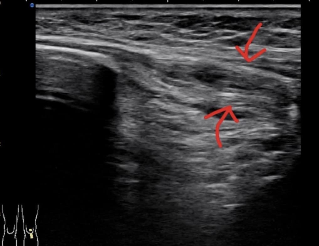
근육의 감염은 처음에는 불균질한 에코가 주위와 구별이 잘 안 되어 불분명하게 보이다가, 이후에는 고름집(농양)을 만드는데, 고름집은 낮은 에코 또는 에코 없는 낭성종괴로 보인다. 드물게 고름집이 주변조직과 같은 에코 또는 높은 에코를 보여서 찾기 어려울 수 있다. 농양(abscess) 뒤쪽에 '메아리투과증가'(through-transmission)에 의한 높은 에코를 보이며, 탐촉자로 압력을 가할 때 내부 에코의 소용돌이 또는 회오리현상(swirling)을 봄으로써 내부에 액성물질(fluid component)이 있음을 알 수 있다.
영상 영역(field-of-view)을 크게 하여 농양 주위를 넓게 보면, 농양 뒤쪽의 메아리투과증가를 좀 더 쉽게 볼 수 있다. 수술후 환자에서 농양이 금속물에 가까이 있을 수 있다. 화농성윤활주머니염은 이미 알려진 윤활주머니의 위치에서 내부에 다양한 액성에코와 윤활 막 증식을 보인다. 연조직 감염이 공기를 가질 수 있으며, 공기는 작고 높은 에코의 점상으로 보이며, 그 뒤쪽에 혜성꼬리허상(comet-tail artifact)을 가진다. 연조직 감염이 발견될 때, 가까이 있는 뼈까짐, 파괴 등으로 뼈 표면이 불규칙해지면 골수염을 생각해야 한다.
그러나 감염의 전체 범위를 알기 위해서 MRI를 하는 것이 좋다. 감염의 다른경로는 혈행성이며, 근육, 관절, 뼈 등에 감염이 나타날 수 있고, 주로 어린이에서 발생하며, 마약중독자, 패혈증 환자에서 보인다. 관절 내에 낮은 에코 또는 같은 에코를 보이는 윤활주머니 증식과 더불어 다양한 밝기(에코 없는 경우에서 낮은 에코까지)의 에코와 증가된 관절액이 보이면 화농성관절염을 반드시 의심해야 한다. 화농성관절염은 다른 염증성관절염(류머티즘관절염 등)과 감별이 어려우며, 염증액의 에코와 혈류의 증가가 감염을 시사하는 소견이 되지 못하므로, 의심되면 반드시 흡인(percutaneous fluid aspiration)을 시행한다. 관절염 소견이 있을 때에 인접한 뼈 표면이 불규칙해지면, 뼈 까지을 생각해야 한다. 어린이에서 혈행성 감염이 바로 골수염을 일으키기도 하는데, 뼈막밑고름집(subperiosteal abscess)이 발견될 수 있으며, 어른에 비해서 어린이에서는 뼈막(periosteum)이 느슨하다.
비화농성근육염은 낮은에코로 보이고, 다양한 근위축이 동반된다. 류머티즘관절염에서의 윤활주머니염과 관절액 증가, 뼈까지 소견은 화농성관절염과 매우 비슷하다. 흔히 병변의 위치, 병력 등이 감별진단에 도움이 된다. 감염은 주로 한 개의 병변으로 나타나지만, 한 개의 병변으로 나타나는 다른 염증성 질환의 가능성을 배제해야 한다.
넙다리(thigh)나 장딴지(calf)의 염증성 또는 감염성 병변이 있을 때에는 당뇨병성 감염을 반드시 고려해야 한다. 근육이 붓고, 근육의 에코가 낮아지지만, 낮은에코의 근막은 소실되지 않은 것으로 보이는데, 이러한 점이 농양과는 다른 점이다. 근막밑염증액(subfascial fluid)이 보이기도 하며, 당뇨병성 근염은 오랫동안 당뇨병을 앓은 환자에서 다리에 양측성으로 발생하는 경향이 있다.

연조직 감염 초음파 영상 연조직 이물질
연조직 감염의 다른 원인 중에는 이물질이 있다. 초음파 검사에서 모든 이물질은 낮은에코를 보이는데, 유기물질이나 식물류(organic and plant materials)는 시간이 지나면 에코가 감소된다. 이물질의 표면은 보다 높은 에코로 뚜렷하게 보인다. 피부에 검사용 겔을 두껍게 바르고 젤리 내에 탐촉자를 가볍게 닿게 해야 피부 바로 밑에 있는 다른 이물질을 놓치지 않게 되고, 또 이렇게 해야 탐촉자의 각도를 쉽게 조정할 수 있다. 이물질 때문에 생기는 독특한 인공물, 이물질 주변 연조직의 이물질 반응에 의해 이물질이 더욱 뚜렷하게 보일 수 있다. 이물질 주변에 낮은 에코의 달무리(halo)가 과혈관성을 동반할 수 있는데, 이는 출혈, 육아조직 증식, 농양 등을 시사한다. 금속성 이물질은 이물질 반응이 없을 수 있다. 이물질의 초음파 검사에서 나타나는 소견(ultrasound artifact)은 이물질 내부의 특성 때문이라기보다는 이물질 표면의 특징에 달려 있다. 표면이 매끄럽고 편평하면 소리 다시 부딪힘에 의한 인공물이 보이며, 표면이 불규칙하고 둥글고 작으면 소리그림자 인공물이 보인다. 대부분의 이물질은 두 가지 인공물을 다 보인다. 영상영역을 크게 하여 이물질 뒷면을 포함하여 검사하는 것이 도움이 된다.
주의할 점은 초음파 검사 전에 이물질 제거를 시도했거나 감염 등으로 공기가 연조직에 있을 때에는 이러한 공기가 초음파 검사에서 이물질과 매우 닮아 보이기 때문에 주의해야 한다. 연조직이 잘 보이도록 촬영한 단순촬영에서 유리 조각은 크기가 보일 만한 크기이고, 뼈와 겹치지 않으면 고밀도의 높은 방사선 농도로 보인다. 단순촬영에서 보이지 않는 나무나 플라스틱 조각이 연조직에 이물질로 있을 때는 초음파 검사가 매우 유용하다. 초음파는 이물질 관련 합병증, 인접한 부위의 힘줄염, 골막염, 농양등을 검사하는데에 이용된다. 이물질 제거 전에 이물질의 위치를 피부에 표시하거나 위치를 표시하는 유도용 철사(guiding wire)를 삽입할 때도 이용하고, 직접 이물질을 초음파 유도하에 제거하기도 한다. 만성적 이물질 반응은 연조직 종괴와 흡사할 수 있다. 공간복합기능(spatial compound function)이 있는 초음파 장비로 검사하면 이물질 찾기가 좀 더 쉬워진다.

연조직 이물질 초음파 영상 반응형