-
목차
반응형Congenital disease
담도과오종 (Biliary harmatoma)
- 간내 양성 종양으로 조직학적으로 수많은 확장성 낭성 담관이 풍부한 섬유성 기질에 둘러싸인 형태
- multiple, 대부분 1cm 이하이고 불규칙하게 보인다.
- 특별한 증상 없이 영상 검사에서 우연히 발견된다.
- 간 양옆에 무질서하게 다발성으로 산재한다.
US finding
- 전반적으로 에코가 거칠게 보이는 간경변의 초음파소견과 비슷하여 주의가 필요함.
- 크기가 비슷한 고에코 또는 저에코 병변들이 보인다.
- 다중반사에 의한 comet-tail artifact를 보인다.


담도과오종 (Biliary harmatoma) 담관 주변 낭종 (Peribiliary cyst)
- 담관과의 연결성이 없다.
- 간문부와 직경이 큰 문맥관 주변에 호발 한다.
- portal vein을 따라 산재된 낭성병변 (포도송이 모양)
- 원인은 주로 간경변, 알코올성 간질환이 심한 환자에서 발견된다.


담관주변 낭종 (Peribiliary cyst) 췌담관 이상 유합 (Anomalous PancreaticoBiliary ductal Union , APBU)
- 십이지장 벽 밖에서 췌관과 담관이 합류하는 기형
- 췌관과 담관이 십이지장 바터팽대부에서 개구 할 때 괄약근 밖에서 열리는 것을 말한다.
- 췌장액이 담도로 역류하는 현상
- 담즙과 혼합된 췌장액 침전물 생성 (protein plug)
- 생성된 protein plug가 바터팽대부의 개구부를 막는 일이 발생한다.


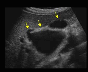
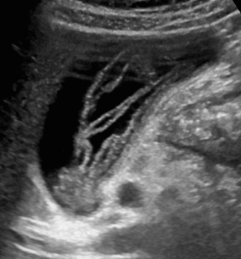
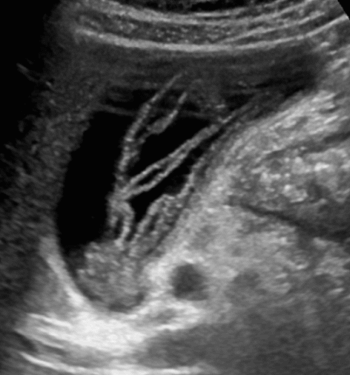
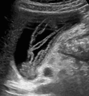
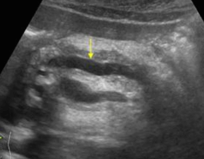
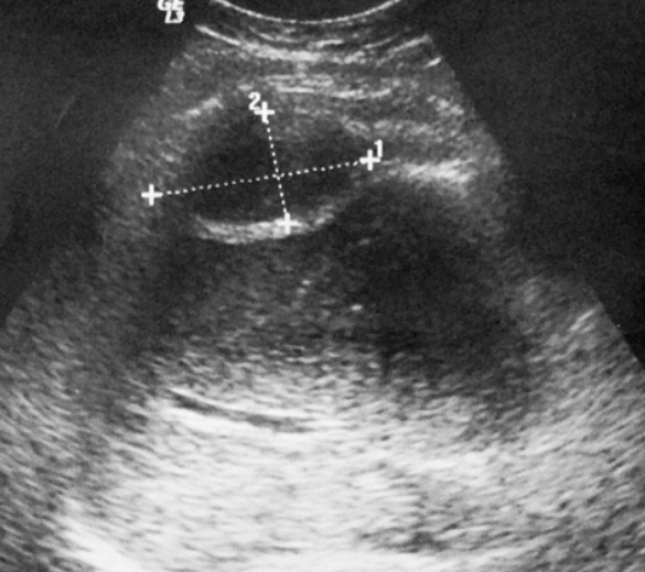
Anomalous PancreaticoBiliary ductal Union , APBU 담관낭종 (Choledochal cyst)
- 선천적을 생긴 낭종이고 type 1 (fugiform)이 가장 흔한 타입이다.
- 췌담관 합류이상 동반이 30~70%.
US finding
- 담관낭종은 간낭종과 다르게 초음파상에서 duct와 연결되고 wall 이 echogenic 하게 보인다.

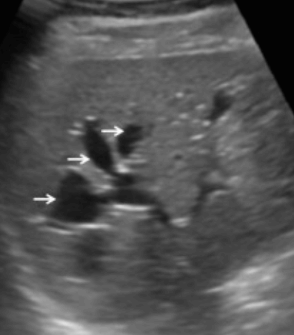
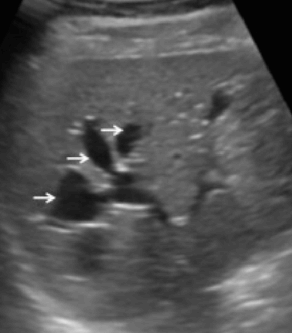
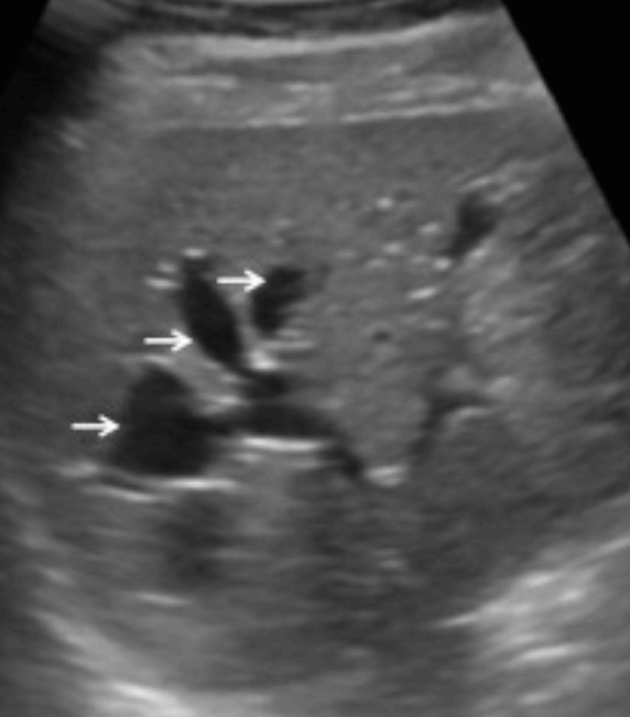
선천성 담관확장증 (Caroli's disease)
- 선천적으로 간내담관의 말초부위에 낭성확장을 일으키는 질환이다.
- 대부분 유년시절, 청소년기에 발생한다.
- 상염색체 열성 다낭성 신질환(autosomal recessive polycystic renal disease), 스펀지 신장(medullary sponge kidney)과 관계있다.
- 담즙 정체로 인해 결석이 생성될 수 있다.
- 간세포가 이 낭종들에 의해 눌려서 간기능이 저하될 수 있다.
- 임상증상은 빌리루빈 혈증, 복부통증, 발열, 오심, 구토, 간비대, 문맥압항진(portal hypertension)등이 나타날 수 있다.
- 담관암 위험성이 20배 높으므로 수술적 치료를 요구한다.
US finding
- 담관과 연결되는 많은 낭포가 있다.
- 담관 내 결석과 반사체가 보인다.


선청성 담관확장증 (Caroli's disease) Benign bile duct disease
Choledocholithiasis (IHD stones, EHD stone)
1. 간내담석 (IHD stone)
- 간문맥을 따라 결절모양으로 형성
- 후방음영동반
- 자세에 따른 변화 없음
- 좌측이 더 흔하게 생기며 재발률이 높다.
- 암유발 가능
2. 간외담석 (EHD stone)
- 결석은 GB에서 기원하거나, 담관 자체에서 발생
- 담관의 완전폐쇄, 불완전 폐쇄, 간헐적 폐쇄를 일으킨다
- 양측성 담도확장 및 CBD 확장
- 확장된 담관으로 담즙의 이동경로의 distal 방향으로 추적검사하여 협착부위를 찾는다.
급성 담관염 (Acute Cholangitis)
- 결석으로 담관이 폐쇄되어 세균감염
- 폐쇄성 황달
- 담관이 국소적으로 확장되거나 좁아져 보인다
- 담관벽은 두껍고 불규칙하게 보인다.
- 우상복부통증
- 급성담낭염과 급성담관염의 차이는 황달이다.
- 빌리루빈 수치 상승
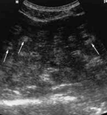
Biliary parasite infection(Clonorchiasis, Ascariasis)
1. 간디스토마증 (Clonorchiasis = Clonorchis Sinensis )
- 민물고기 생식(날로 먹은 병력)에 의해 발생하는 간흡충증
- 디스토마 성충이 담관에 기생하여 담관폐쇄, 담관염을 일으킨다
- 한번 감염되면 10년 이상의 긴 생활주기를 가지므로 반복감염도 흔하다
- 특징적인 소견으로 확인할만한 폐색원인 없이 간내담관의 미만성 경도 확장이 관찰된다
- Parenchymal Inflammation
US finding
- 담관벽 에코 증가
- IHD dilatation
- too many duct sign
- 문맥주위 에코상승 (periductal fibrosis)


간디스토마증 (Clonorchiasis = Clonorchis Sinensis ) 2. 회충증 (Ascariasis)
- 회충이 소장에서 담도로 기어 올라와 발생
- 폐쇄성 황달, 담관염을 일으킨다


회충증 (Ascariasis) Malignant bile duct disease
Intrahepatic Cholangiocarcinoma (CCA)
작은 말초 간내 담관에 발생한다. 황달 없이 간내 담관확장만을 동반하고 섬유성 피막을 형성하지 않는다. 종양내부 섬유화를 일으키며 출혈이나 괴사를 동반하지 않는다. 간흡충증이나 간내담관 결석환자에서 발생빈도가 높다.
- mass forming type (가장 흔하다)
- periductal infiltrating type
- intraductal growth type
Perihilar Cholangiocarcinoma (Klaskin's tumor)
간에서 연결된 담도의 상부에 생기는 암이다. 수술을 받아야 완치되지만, 진행성의 경우에는 주위혈관으로 암이 침범해 수술로 절제할 수 없어 생존기간이 매우 짧다.
- 좌우 간내담관이 합류하는 부위에 발생
- IHD dilatation ( EHD dilatation 되지 않음)
- 담즙배출이 되지 않아 GB 위축
- 폐쇄성 황달
- 좌우 간내 담관 분리 (연결이 없음)
- 연결성이 없는 담도확장은 CCC를 염두
Ampulla Vater Cancer (CD, PD)
- dilatated pancreatic and bile ducts
- soft tissue mass in the distal CBD



Ampulla Vater Cancer Other biliary phenomena
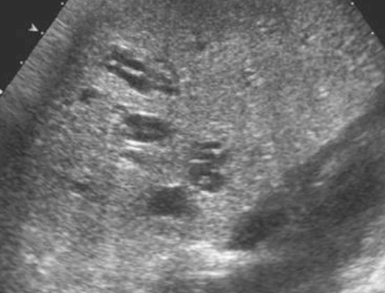
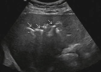
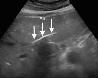
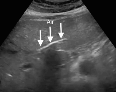
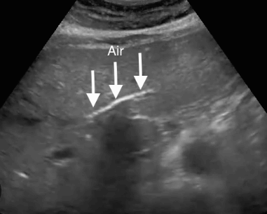
담도기종 (Pneumobilia)
- 담도계의 공기가 있는 질환
- 원인은 담낭절제술, 십이지장 유두부 절개술 후, 내시경적 역행성 췌관, 담관 조영술 검사 후, 가스발생균에 의한 담관의 감염 등이 있다.
US finding
- 담관 내 선상의 고에코
- ring-down artifact
- 후방음향 음영은 지저분하며 선명하지 않다.
- 체위를 변화시키면 중력의 반대방향으로 가스가 이동한다.


담도기종 (Pneumobilia) 담즙종 (Biloma)
- 외상 또는 수술 등에 의해 담도의 손상을 일으킨다.
- 담낭염, 담관염, 담도암에 의해 담도의 파열을 일으켜 담즙성 낭종을 형성한 것이다.
- 염증성 변화 혹은 출혈을 동반하는 경우에는 내부에코가 발생된다.
- 경피적 배액술 시행
US finding
- 초음파영상에서 fluid-fluid level을 동반한 액체저류가 보인다.
- 낭종은 무에코가 아닌 내부에코를 동반한다.


담즙종 (Biloma) 반응형